Información exclusiva para profesionales de la salud
← Volver al número Ver PDF

Diagnóstico ultrasonográfico temprano de diprosopia: reporte de un caso

Early ultrasonographic diagnosis of diprosopia: Report of a Case.



RESUMEN

ANTECEDENTES: La diprosopia, también conocida como duplicación craneofacial, es una anomalía congénita muy rara, con grados variables de afectación. La mayoría de los fetos y neonatos no superviven; sin embargo, algunos casos de diprosopia parcial pueden beneficiarse con la cirugía.

CASO CLÍNICO: Paciente de 27 años, con antecedentes de dos embarazos, una cesárea indicada por presentación pélvica, con 9 semanas de la gestación actual. En el ultrasonido se observó un embrión de 24 mm con frecuencia cardiaca de 175 latidos por minuto, con múltiples malformaciones craneofaciales, de aspecto bífido compatible con diprosopia. Ante el mal pronóstico fetal a corto plazo, la paciente decidió la interrupción del embarazo.

CONCLUSIÓN: Las anomalías de duplicación facial son alteraciones raras y de mal pronóstico. Aproximadamente la mitad de los casos se acompañan de alteraciones en otros órganos y sistemas, lo que obliga a una evaluación ecográfica extendida. En todos los casos debe sugerirse el estudio genético, más aún cuando hay alteraciones adicionales en la exploración ecográfica.

PALABRAS CLAVE: Diprosopia, malformación fetal, duplicación craneofacial, ultrasonido del primer trimestre

ABSTRACT

Background: Diprosopia, also known as craniofacial duplication, is a rare congenital anomaly that can involve varying degrees of the face and skull. Most fetuses and newborns do not survive, though some cases of partial diprosopia may benefit from surgery.

Clinical case: A 27-year-old patient with a history of two pregnancies and one cesarean section due to breech presentation at nine weeks of her current pregnancy. An ultrasound revealed an embryo measuring 24 mm with a heart rate of 175 beats per minute. The embryo exhibited multiple craniofacial malformations and a bifid appearance, consistent with diprosopia. Due to the poor short-term fetal prognosis, the patient opted to terminate the pregnancy.

Conclusion: Facial duplication anomalies are rare disorders with a poor prognosis. Approximately half of cases are accompanied by abnormalities in other organs and systems, requiring extensive ultrasound evaluation. Genetic testing should be recommended in all cases, especially when additional abnormalities are found on ultrasound.

Keywords: Diprosopia, Fetal malformation, Craniofacial duplication, First trimester ultrasound


ANTECEDENTES

El primer caso reportado de diprosopia “del griego diprosopus que significa di-dos y prosopia-cara, en la bibliografía lo hizo Mclaughlin en 1949.1 Es una anomalía congénita, rara, con una prevalencia estimada entre 1 y 2 casos por cada 1,000,000 a 15,000,000 de nacidos vivos, con grados variables de afectación.2,3 Se caracteriza por duplicaciones de estructuras: nariz y ojos, hasta la duplicación facial completa.2,3

La causa de esta anomalía continúa sin reconocerse, aunque se han propuesto varios mecanismos: bifurcación craneal de la notocorda en el periodo de la neurulación, lo que ocasiona que dos ejes vertebrales y placas neurales se desarrollen uno al lado del otro; así como una sobre expresión de la proteína Sonic Hedgehog, que participa en el modelado craneofacial durante el desarrollo.4,5 Existen, además, factores de alto riesgo: edad materna avanzada al momento del embarazo, polihidramnios y el matrimonio consanguíneo.4,5

No hay relación reportada con aneuploidias, pero se han reportado desequilibrios en la información genética (pérdida o ganancia de información del genoma).2

El diagnóstico temprano es posible mediante ecografía, que da la pauta a la interrupción temprana del embarazo, justificada por el mal pronóstico de la diprosopia, debido que la mayoría de los fetos muere.6,7

CASO CLÍNICO

Paciente de 27 años, con antecedentes de dos embarazos y una cesárea indicada por presentación pélvica a las 38 semanas, con obtención de un recién nacido masculino de 3900 g, Apgar 8-9 al minuto y 5 minutos, sin alteraciones anatómicas.

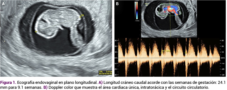
Acudió a consulta a las 9 semanas de embarazo para seguimiento. El ultrasonido del primer trimestre, con equipo de alta definición Voluson P8, reportó útero en anteverso-flexión, miometrio homogéneo y bordes regulares. En su interior, en localización fúndica, se observó saco gestacional de bordes regulares con un embrión de 24.1 mm de longitud craneocaudal (9.1 semanas) y frecuencia cardiaca de 175 latidos por minuto (Figura 1 A y B), con malformación craneal.

<strong>Figura 1</strong>
Figura 1. Embrión de 9.1 semanas con frecuencia cardiaca registrada y alteraciones craneofaciales iniciales (vistas A y B).

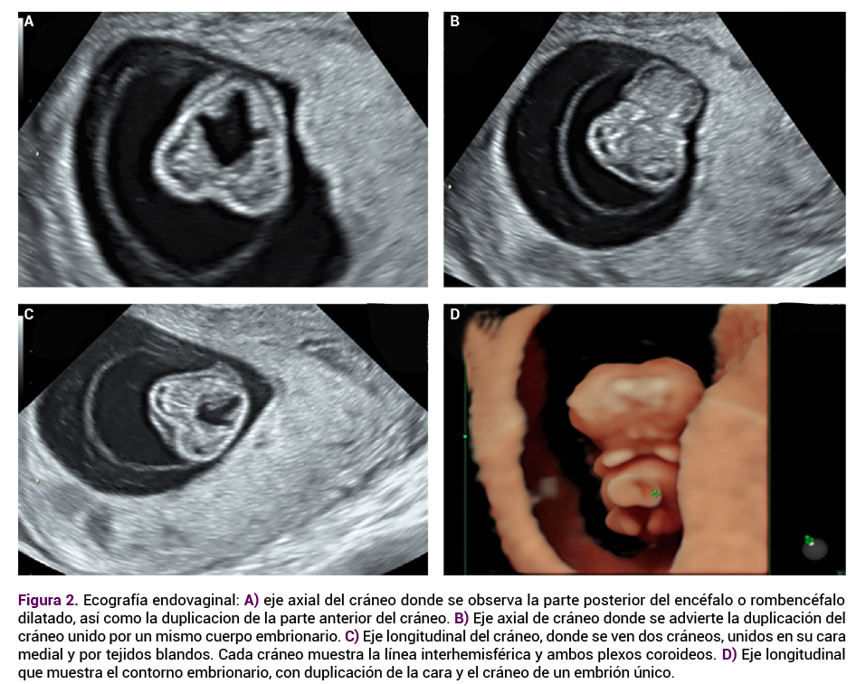
La reacción corial era adecuada, sin desprendimientos ni hematomas, con cuello uterino cerrado. Impresión diagnóstica: embarazo de 9.1 semanas con malformación grave en el espacio craneofacial de aspecto bífido, compatible con diprosopia, y anomalías en la fosa posterior de aspecto quístico (Figura 2 A-D).

<strong>Figura 2</strong>
Figura 2. Hallazgos craneofaciales de aspecto bífido compatibles con duplicación facial, con cambios quísticos en fosa posterior (vistas A a D).

Las extremidades superiores e inferiores se apreciaron sin anormalidades aparentes. Se observó un quiste de cordón umbilical, probable onfalocele (Figura 3 A y B). Se explicó a la paciente el mal pronóstico fetal a corto plazo y la necesidad de interrumpir el embarazo. La paciente no aceptó la realización de estudio genético.

<strong>Figura 3</strong>
Figura 3. Lesión quística en cordón umbilical con sospecha de defecto de pared abdominal tipo onfalocele (vistas A y B).

DISCUSIÓN

La diprosopia es un padecimiento raro, con amplia variedad de anomalías que pueden ser desde hendiduras faciales leves, hasta la duplicación completa de la cara.8,9 Se conocen dos clasificaciones para describir las duplicaciones craneofaciales.8,9 La primera la propusieron Barr y su equipo en 19828 y la más aceptada, en la actualidad, es la descrita por Gorlin y colaboradores en 1990, quienes la dividen en cuatro tipos: 1) boca única con duplicación del arco maxilar; 2) boca supernumeraria colocada lateralmente con segmentos rudimentarios; 3) boca única con replicación de los segmentos mandibulares; 4) verdadera duplicación facial o diprosopia.9 En este reporte de caso, de acuerdo con el rastreo ultrasonográfico, se corroboró una duplicación verdadera.9 Estos casos son, por demás, excepcionales con pronóstico fetal muy pobre, razón por la que solo existen reportes descritos de mortinatos o abortos con esa afección.8,9

El diagnóstico temprano es posible mediante la ultrasonografía del primer trimestre (11 a 14 semanas).4,6 Es más frecuente en las mujeres, con una relación de 1:1.4.2 La evaluación ecográfica debe incluir la exploración detallada de la anatomía del feto (estudio morfológico complementario), porque se han descrito asociaciones con alteraciones cardiacas y en el sistema nervioso central, además de hernias diafragmáticas.6 Ante el hallazgo de duplicación facial se sugiere la práctica de estudios genéticos complementarios (microarreglos) porque se han descrito pérdidas y ganancias de información genética o, incluso, de casos con sospecha de enfermedad autosómica recesiva por consanguinidad, afección que puede detectarse mediante el estudio de microarreglos de nucleótido simple (SNP array).2

Los diagnósticos diferenciales son: fosas nasales supernumerarias, síndrome de banda amniótica, síndrome de hendidura facial en línea media, entre otros.10 El pronóstico es por demás desfavorable en la diprosopia completa, aunque los avances en la cirugía plástica han dado buenos resultados para corregir algunos defectos en diprosopias parciales.10

CONCLUSIONES

Las anomalías de duplicación facial son alteraciones raras, con pronóstico desfavorable. En alrededor de la mitad de los casos hay alteraciones en otros órganos, lo que obliga a una evaluación ecográfica minuciosa. El diagnóstico temprano puede establecerlo un operador con equipo de ultrasonido con buena calidad de imagen. En todos los casos está indicado el estudio genético, que debe proponerse cuando haya alteraciones adicionales en la exploración ecográfica. Los casos más graves no son viables para la vida, por ello debe interrumpirse el embarazo tras consentimiento informado y comunicación al comité de ética local.

REFERENCIAS

  1. Costa MA, Borzabadi-Farahani A, Lara-Sanchez PA, Schweitzer D, et al. Partial craniofacial duplication: a review of the literature and case report. Journal of cranio-maxillo-facial surgery 2013; 42 (4): 290-96. https://doi.org/10.1016/j.jcms.2013.05.016.
  2. Bidondo MP, Groisman B, Tardivo A, Tomasoni F, et al. Diprosopus: Systematic review and report of two cases. Birth defects research. Part A, Clinical and Molecular Teratology 2016; 106 (12): 993-1007. https://doi.org/10.1002/bdra.23549.
  3. Salah FO, Zewdie YG, Ambachew S, Nour AS, Endale T. Partial facial duplication (diprosopus): a case report and review of the literature. J Medical Case Reports 2024; 18 (1): 176. https://doi.org/10.1186/s13256-024-04423-4.
  4. Bidondo MP, Groisman B, Tardivo A, Tomasoni F, et al. Diprosopus: revisión sistemática y reporte de dos casos. Defectos de nacimiento. Res A Clin Mol Teratol 2016; 106 (12): 993-1007. https://doi.org/10.1002/bdra.23549.
  5. Hähnel S, Schramm P, Hassfeld S, Steiner HH, Seitz A. Duplicación craneofacial (diprosopus): informe de caso de hallazgos de tomografía computarizada, resonancia magnética y angiografía por resonancia magnética. Radiología 2003; 226 (1): 210-13. https://doi.org/10.1148/radiol.2261011754.
  6. Bhuyan M, Haque I. Diprosopus, una malformación craneofacial rara. Asian J Neurosurg 2018; 13 (4): 1257-1259. https://doi.org/10.4103/ajns.AJNS_202_17.
  7. Thornton KM, Bennett T, Singh V, Mardis N, et al. Un caso de diprosopus: asesoramiento y tratamiento perinatal. Case Reports in Pediatrics 2014; 2014: 279815. https://doi.org/10.1155/2014/279815.
  8. Barr M Jr. Duplicación facial: caso, revisión y embriogénesis. Teratology 1982; 25: 153-59. https://doi.org/10.1002/tera.1420250205.
  9. Gorlin RJ, Cohen MM Jr, Levin LS. Síndromes de cabeza y cuello. 3ª ed. New York: Oxford University Press; 1990.
  10. Galiffa D, Testa M, Alcalá O, et al. Diagnóstico ecográfico prenatal de duplicación de cara asociada a defectos neurológicos. Rev Latin Perinat 2020; 23 (1): (58).
Enviar un comentario

Te puede interesar