Información exclusiva para profesionales de la salud
← Volver al número Ver PDF

Embarazo ístmico-cervical de 12 semanas, resuelto con histerectomía en bloque

Isthmic-cervical pregnancy of 12 weeks, resolved with en block hysterectomy.



RESUMEN

ANTECEDENTES: El embarazo ectópico ístmico-cervical representa el 0.1% de todos los embarazos ectópicos. Su relevancia estriba en el riesgo de complicaciones obstétricas mayores: ruptura uterina, hemorragia obstétrica y muerte.

CASO CLÍNICO: Paciente de 40 años, con antecedentes de menarquia a los 15 años, 4 embarazos, 1 parto eutócico y 2 cesáreas electivas; fecha de la última menstruación no confiable, previo esquema de anticoncepción hormonal inyectable. Acudió a consulta a solicitar la interrupción legal del embarazo. En la valoración ecográfica transvaginal se observó un saco gestacional implantado a nivel ístmico-cervical, con feto vivo de 12 semanas de gestación (longitud cefalocaudal de 61 mm), con frecuencia cardiaca fetal de 145 lpm. Luego de confirmar el diagnóstico de embarazo ectópico implantado en la cicatriz de la cesárea se discutieron las opciones de tratamiento y se optó por la cirugía. El reporte de patología confirmó el diagnóstico. En el análisis macroscópico de la pieza se observó la ruptura del embarazo ectópico con salida de feto y placenta adyacente hacia los vasos uterinos derechos. La histerectomía finalizó sin complicaciones inmediatas.

CONCLUSIÓN: El embarazo ectópico ístmico-cervical en la cicatriz de cesárea es poco frecuente pero en aumento debido al incremento en la práctica de la cesárea. La atención de estos embarazos debe efectuarse en hospitales con médicos experimentados y con infraestructura, recursos adecuados y respuesta apropiada para atender la posibilidad de complicaciones.

PALABRAS CLAVE: Embarazo ístmico cervical, embarazo en cicatriz de cesárea, embarazo ectópico, histerectomía total

ABSTRACT

Background: Ischemic cervical ectopic pregnancy accounts for 0.1% of all ectopic pregnancies. It is significant because of the risk of major obstetric complications, such as uterine rupture, obstetric hemorrhage, and death.

Clinical case: A 40-year-old patient with a history of menarche at age 15, four pregnancies, one eutocic delivery, and two elective cesarean sections. The date of her last menstrual period is unreliable, and she previously used a hormonal contraceptive injection regimen. She came to the clinic to request a legal termination of pregnancy. A transvaginal ultrasound revealed a gestational sac implanted at the isthmic-cervical level with a live fetus measuring 12 weeks (cephalocaudal length of 61 mm) and exhibiting a heart rate of 145 beats per minute. After confirming the diagnosis of an ectopic pregnancy implanted in the cesarean scar, treatment options were discussed, and the patient chose surgery. The pathology report confirmed the diagnosis. Macroscopic analysis of the specimen revealed rupture of the ectopic pregnancy, resulting in the discharge of the fetus and adjacent placenta into the right uterine vessels. The hysterectomy was completed without immediate complications.

Conclusion: Isthmic-cervical ectopic pregnancy in the scar of a previous C-section is rare but becoming more common due to the increased practice of C-sections. These pregnancies should be managed in hospitals with experienced physicians, adequate infrastructure and resources, and an appropriate response plan for addressing potential complications.

Keywords: Cervical isthmus pregnancy, Cesarean scar pregnancy, Ectopic pregnancy, Total hysterectomy


ANTECEDENTES

Cuando la implantación del blastocisto se lleva a cabo fuera de la cavidad uterina se considera un embarazo ectópico.1 Es más frecuente en la trompa uterina aunque el óvulo fecundado puede implantarse en el ovario, cuello uterino, cicatriz de cesárea, en el cuerno uterino o en la cavidad abdominal.2 La frecuencia global del embarazo ectópico es del 1 al 2% de todos los embarazos; en México es de 1.6 a 2 por cada 100 nacimientos.3 El embarazo ectópico ístmico-cervical representa el 0.1% de todos los embarazos ectópicos.4 Su relevancia estriba en el riesgo de complicaciones obstétricas mayores: ruptura uterina, hemorragia obstétrica y muerte.4 Ante el diagnóstico de este tipo de embarazo ectópico se recomienda la interrupción inmediata de la gestación.4

El embarazo ectópico cervical, y el que se implanta en la cicatriz uterina, son un verdadero desafío para el obstetra, por lo excepcional de su presentación y por constituir una urgencia obstétrica debida a su localización y manifestarse con cuadros de hemorragia obstétrica.5

La ecografía abdominal puede hacer sospechar una anomalía pero con menor especificidad que el ultrasonido transvaginal;6 a pesar de esto, la duda de localización puede surgir cuando hay antecedentes de una cirugía uterina y es necesario establecer un diagnóstico diferencial entre un embarazo ectópico cervical o uno que se asienta en la cicatriz de cesárea.5 Para poder discernir entre uno y otro se recurre a dos signos diferenciales: 1) la ubicación del saco gestacional respecto del orificio cervical interno y 2) las características del miometrio.7 En el embarazo ectópico cervical la placenta y el saco gestacional se sitúan por debajo del orificio cervical interno y el miometrio no se advierte con modificaciones.7 En el embarazo ectópico implantado en la cicatriz de cesárea, el saco gestacional se localiza en torno del orificio cervical interno, en donde ocupa parte del segmento uterino y el miometrio se encuentra adelgazado o, incluso, ausente.7,8

Por lo que se refiere al tratamiento, no existe un consenso de cuál es la mejor modalidad, sin dejar de lado que puede ser médico o quirúrgico.8 Para ello deben tomarse en cuenta: el deseo de fertilidad futura, las características del embarazo ectópico, la gravedad de los síntomas y las condiciones de salud de la paciente y los recursos institucionales.8 En la última década ha tomado relevancia la indicación del metotrexato en sus diferentes esquemas, con el beneficio de disminución de las complicaciones y preservación de la fertilidad.8 También la embolización de las arterias uterinas combinada con el legrado uterino.9 Sea cual sea la decisión, ésta estará condicionada por la localización, el diámetro del saco gestacional, el grosor del miometrio a nivel de la cicatriz y las condiciones de salud de la paciente.9 Para el tratamiento quirúrgico tampoco existe un consenso que indique cuál es la mejor opción en pacientes con embarazo ectópico implantado en la cicatriz de cesárea.10

Enseguida se reporta el caso de una paciente con diagnóstico de embarazo ectópico implantado en la cicatriz de la cesárea que, por su baja frecuencia, el diagnóstico es complejo, de ahí la importancia de publicarlo.

Se emprendió una búsqueda bibliográfica en las bases de datos de PubMed, Scopus, ResearchGate y Europe PMC con línea de tiempo de 2019 a 2024. El objetivo fue: evaluar la información relacionada con el cuadro clínico de presentación, el diagnóstico, el tratamiento y el pronóstico. Fue necesario ampliar la línea del tiempo debido a que fueron escasas las publicaciones orginales y algunas contenían reseñas de publicaciones de fechas anteriores.

CASO CLÍNICO

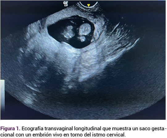
Paciente de 40 años con antecedentes de menarquia a los 15 años, 4 embarazos, 1 parto eutócico y 2 cesáreas electivas; fecha de la última menstruación no confiable, previo esquema de anticoncepción hormonal inyectable. Acudió a consulta a solicitar la interrupción legal del embarazo. En la valoración ecográfica transvaginal se observó un saco gestacional implantado a nivel ístmico-cervical, con feto vivo de 12 semanas de gestación (longitud cefalocaudal de 61 mm), con frecuencia cardiaca fetal de 145 lpm. Ante esos hallazgos se solicitó la interconsulta con los especialistas en medicina materno-fetal quienes corroboraron el diagnóstico de embarazo ectópico ístmico-cervical (Figura 1).

<strong>Figura 1</strong>
Figura 1.

El fondo uterino se encontró vacío y al feto en el segmento inferior, la placenta cubría el orificio cervical interno, con vasculatura anormal hacia el segmento, con impresión diagnóstica de embarazo ectópico ístmico-cervical (Figuras 2A y 2B).

<strong>Figura 2</strong>A
Figura 2A. | Figura 2B.

Luego de confirmar el diagnóstico de embarazo ectópico implantado en la cicatriz de cesárea se discutieron las opciones de tratamiento con la paciente y se le informó que, debido a las características del embarazo y paridad satisfecha se le recomendaba el tratamiento quirúrgico radical con histerectomía en bloque, que la paciente aceptó y previa firma de consentimiento se procedió a la cirugía. El estudio transoperatorio de patología confirmó el diagnóstico. En el análisis macroscópico de la pieza se observó la ruptura del embarazo ectópico con salida de feto y placenta adyacente hacia los vasos uterinos derechos (Figura 3 A-C).

<strong>Figura 3</strong>A
Figura 3A. | Figura 3B. | Figura 3C.

La histerectomía finalizó sin complicaciones inmediatas, con un sangrado estimado de 400 mL y un tiempo quirúrgico de 100 minutos. La pieza quirúrgica se envió a patología (Figura 4), que reiteró el diagnóstico y los hallazgos histopatológicos relacionados con el espectro de acretismo placentario (Figuras 5 y 6). Posterior a la histerectomía la paciente permaneció en observación, con estrecha vigilancia del sangrado. Ante la evolución favorable se le dio el alta del hospital a las 24 horas del posoperatorio.

<strong>Figura 4</strong>
Figura 4.
<strong>Figura 5</strong>
Figura 5.
<strong>Figura 6</strong>
Figura 6.

DISCUSIÓN

El embarazo ectópico cervical sobreviene cuando el saco gestacional se implanta en la línea endocervical.11 Su incidencia es de 1 caso por cada 6000 a 8000 embarazos, y representa el 0.1% de todos los embarazos ectópicos.11,12

El diagnóstico de embarazo ectópico cervical se establece mediante el ultrasonido transvaginal con los siguientes criterios: 1) útero vacío; 2) cuello uterino en forma de barril; 3) saco gestacional por debajo del nivel de las arterias uterinas; 4) ausencia del “signo de deslizamiento o cizallamiento” (al aplicar presión al cuello uterino con el transductor por vía vaginal el saco gestacional del aborto se desliza contra el canal endocervical pero no en un embarazo de implantación cervical); 5) flujo sanguíneo alrededor del saco gestacional advertido en el Doppler color.13 El cuadro clínico analizado tuvo los cinco criterios diagnósticos ultrasonográficos mencionados.13

Entre los factores de riesgo para una implantación fuera de la cavidad uterina se encuentran las lesiones en la salpinge, malformaciones müllerianas, dispositivo intrauterino, endometriosis, etnia afroamericana, multiparidad, antecedentes de aborto, legrado instrumentado, procedimientos quirúrgicos uterinos, enfermedad pélvica inflamatoria, embarazo ectópico, tabaquismo, fertilización in vitro, edad entre 35 y 45 años.14,15 Los tres factores de riesgo reportados en el caso clínico fueron: la paridad, la edad y el antecedente de procedimientos quirúrgicos uterinos.14 A pesar de que en diversos casos concurren estos antecedentes, la incidencia reportada es baja y no permite caracterizar de manera adecuada cuáles pueden originar el embarazo a nivel istmo cervical.15

El tratamiento del embarazo ectópico puede ser médico, quirúrgico o combinado.16 El primero es el preferido cuando la paciente no tiene paridad satisfecha y se efectúa con metotrexato mediante el esquema de dosis única o múltiple, o con una inyección local en el saco gestacional.16,17,18 La opción quirúrgica puede practicarse con técnicas mínimamente invasivas, incluidas la histeroscopia, laparoscopia, cirugía transvaginal, embolización de arterias uterinas y la aspiración uterina.18 Si la histerectomía está indicada puede ser en bloque.19 García de la Torre y su grupo sugieren la histerectomía en bloque con técnica quirúrgica preventiva para hemorragia pélvica masiva.19 En la paciente del caso, por el riesgo elevado del sangrado, se tenían disponibles los hemoderivados necesarios y el equipo de respuesta inmediata para hemorragia obstétrica y especialistas en terapia intensiva obstétrica; por fortuna no se requirió su intervención.19

CONCLUSIONES

El embarazo ectópico ístmico-cervical en la cicatriz de cesárea es poco frecuente pero en aumento debido al incremento en la práctica de la cesárea. El diagnóstico y tratamiento oportunos evitan complicaciones que ponen en peligro la vida de la paciente. Hasta ahora, por su baja incidencia, no existe un consenso para tratar pcientes con embarazo ectópico ístmico-cervical, aunque sí se han planteado opciones de atención médica y quirúrgica. La atención de estos embarazos debe efectuarse en hospitales con médicos experimentados y con infraestructura y recursos adecuados y respuesta apropiada para atender pacientes obstétricas susceptibles de desencadenar complicaciones.

REFERENCIAS

  1. Navas-Campo R, Moreno Caballero L, Tobajas Morlana P. Embarazo ectópico sobre cicatriz uterina por cesárea. Rev. Fac Cien Med 2021; 78 (4): 439-40. https://doi.org/10.31053/1853.0605.v78.n4.32407
  2. Larrea AL, Bozza LA. Embarazo ectópico cornual: reporte de una localización inusual. Medicina 2023; 83 (6): 986-89.
  3. Escobar-Padilla B, Pérez-López CA, Martínez-Puon H. Factores de riesgo y características clínicas del embarazo ectópico. Rev Med Inst Mex Seg Soc 2017; 55 (3): 278-85. http://www.redalyc.org/articulo.oa?id=457750970002
  4. Grechukhina O, Deshmukh U, Fan L, Kohari K, et al. Cesarean scar pregnancy, incidence, and recurrence: five-year experience at a single tertiary care referral center. Obstetrics and gynecology 2028; 132 (5): 1285-95. https://doi.org/10.1097/AOG.0000000000002940
  5. Crespo Ferrer C, Jaca Navarro A, Juárez Sabater N, Aliaga Parreño R, et al. Embarazo ectópico cervical: diagnóstico y tratamiento. Prog Obstet Ginecol 2009; 52 (5): 303-6. https://doi.org/10.1016/S0304-5013(09)71054-4
  6. Ban, Yanli MD, Shen J, Wang X, Zhang T, et al. Cesarean Scar Ectopic Pregnancy Clinical Classification System With Recommended Surgical Strategy. Obstetrics & Gynecology 2023; 141 (5): 927-936. https://doi.org/10.1097/AOG.0000000000005113
  7. San Román VY, Jubete F, Mozo A, Gorostiaga T, et al. Embarazo cervical: evolución del tratamiento diagnostico-terapéutico en una década. Prog Obstet Ginecol 2003; 43: 354-357. https://doi.org/10.1016/S0304-5013(03)75910-X
  8. Escribano D, Gallego M, Galindo A, Palomo ML, et al. Gestación ectópica sobre cicatriz de cesárea anterior: caso clínico y revisión de la literatura. Prog Obstet Ginecol 2004; 47: 393-99. https://doi.org/10.1016/S0304-5013(04)76025-2
  9. Chang WH, Chou FW, Wang PH. Cesarean scar pregnancy. Taiwan J Obstet Gynecol 2022; 61 (6): 923-24. https://doi.org/10.1016/j.tjog.2022.07.005
  10. Ban Y, Shen J, Wang X, Zhang T, et al. Cesarean scar ectopic pregnancy clinical classification system with recommended surgical strategy. Obstet Gynecol 2023; 141 (5): 927-936. https://doi.org/doi/10.1097/AOG.0000000000005113
  11. Frías Sánchez Z, Pantoja Garrido M, Fernández Ruiz M, Vico de Miguel FJ, et al. Manejo de la gestación ectópica cervical. Tratamiento médico con pauta multidosis de metotrexato intramuscular; a propósito de un caso. Clínica e Inves en Ginecol Obstet 2019; 46 (2): 81-85. https://doi.org/10.1016/j.gine.2018.02.002
  12. Parker VL, Srinivas M. Non-tubal ectopic pregnancy. Arch gynecol Obstet 2016; 294 (1): 19-27. https://doi.org/10.1007/s00404-016-4069-y
  13. Hosni MM, Herath RP, Mumtaz R. Diagnostic and therapeutic dilemmas of cervical ectopic pregnancy. Obstet gynecol survey 2014; 69 (5): 261-76. https://doi.org/10.1097/OGX.0000000000000062.
  14. Bianchi P, Salvatori MM, Torcia F, Cozza G, Mossa B. Cervical pregnancy. Amer Soc Repro Med 2011; 95 (6): 2123.e3-2123.e4 https://doi.org/10.1016/j.fertnstert.2011.01.016
  15. Awarwal N, et al. Early abdominal ectopic pregnancy: challenges, update and review of current management. Obstet Gynaecol 2014;16: 193-198. https://doi.org/10.1111/tog.12109
  16. Guerrero-Martínez E, et al. Algunos aspectos demográficos asociados con el embarazo ectópico. Ginecol Obstet Mex 2014; 82: 83-92.
  17. Tipiani-Rodríguez O, Elías-Estrada JC, Bocanegra-Becerra YL, Ponciano-Biaggi MA. Tratamiento del embarazo ectópico implantado en cicatriz de cesárea: estudio de cohorte 2018-2022, Lima, Perú. Rev colomb obstet y ginecol 2023; 74 (2): 15-30. https://doi.org/10.18597/rcog.3958
  18. Bolaños-Bravo HH, Ricaurte-Fajardo A, Zarama-Márquez F, Ricaurte-Sossa A, et al. Manejo conservador en una paciente con embarazo ectópico cervical en Nariño, Colombia: reporte de caso y revisión de la literatura. Rev colomb obstet ginecol 2019; 70 (4): 277-92. https://doi.org/10.18597/rcog.3357
  19. García de la Torre JI, Delgado-Rosas A, Feria-Sosa LA, González-Cantú G, et al. Embarazo ectópico cervical de 16 semanas de gestación. Histerectomía en bloque con técnica quirúrgica preventiva para hemorragia pélvica masiva. Reporte de un caso. Ginecol Obstet Mex 2015; 83: 316-19.
Enviar un comentario

Te puede interesar