Información exclusiva para profesionales de la salud
← Volver al número Ver PDF

Esplenosis pélvica. Un diagnóstico inusual en ginecología

Pelvic splenosis. An unusual diagnosis in gynecology.



RESUMEN

Antecedentes: La esplenosis es un padecimiento benigno, de origen postraumático del bazo, que consiste en la implantación ectópica del tejido esplénico. La adecuada anamnesis es decisiva para la sospecha clínica; el diagnóstico se establece con base en la gammagrafía con Tec-99 o con la toma de una biopsia mediante laparoscopia. El tratamiento suele ser conservador en pacientes asintomáticas o con síntomas menores y el quirúrgico se reserva para casos graves.

Caso clínico: Paciente de 52 años, con antecedentes de esplenectomía postraumática a los siete años, dos embarazos, dos cesáreas y con un cuadro clínico de dolor pélvico y sangrado uterino anormal de nueve meses de evolución. La ecografía endovaginal mostró una tumoración anexial derecha extraovárica, con vascularidad aumentada, apta para histerectomía laparoscópica y resección de la lesión anexial. Reporte histopatológico: bazo accesorio con congestión de la pulpa roja.

Conclusión: La esplenosis suele ser una reacción compensatoria a la asplenia infradiagnosticada, en ocasiones confundida con diversas afecciones. La correcta anamnesis es el procedimiento que apoya el diagnóstico, que debe confirmarse con gammagrafía con Tc 99 y, en casos no concluyentes, mediante la toma de una biopsia dirigida por laparoscopia. Por lo general, el tratamiento es conservador y la resección quirúrgica se reserva para casos graves.

Palabras clave: Esplenosis, esplenectomía, tejido esplénico ectópico, esplenosis pélvica, dolor pélvico, esplenectomía postraumática, histerectomía laparoscópica

ABSTRACT

Background: Splenosis is a benign, post-traumatic condition affecting the spleen that consists of ectopic splenic tissue implantation. An accurate medical history is crucial for raising clinical suspicion, and diagnosis is made using Tec-99 scintigraphy or a laparoscopic biopsy. Treatment is usually conservative for asymptomatic patients or those with minor symptoms, while surgery is reserved for severe cases.

Clinical case: A 52-year-old female patient presented with a history of post-traumatic splenectomy at age seven, two pregnancies, two cesarean sections, and a nine-month history of pelvic pain and abnormal uterine bleeding. Endovaginal ultrasound revealed an adnexal mass on the right ovary with increased vascularity. The patient underwent laparoscopic hysterectomy and resection of the adnexal lesion. The histopathological report revealed an accessory spleen with congestion of the red pulp.

Conclusion: Splenosis is usually a compensatory reaction to underdiagnosed asplenia and is sometimes confused with various conditions. A thorough medical history is essential for supporting the diagnosis, which must be confirmed by Tc 99 scintigraphy. In inconclusive cases, the diagnosis must be confirmed by a laparoscopic-guided biopsy. Treatment is usually conservative, with surgical resection reserved for severe cases.

Keywords: Splenosis, Splenectomy, Ectopic splenic tissue, Pelvic splenosis, Pelvic pain, Post-traumatic splenectomy, Laparoscopic hysterectomy


ANTECEDENTES

La esplenosis es la autoimplantación ectópica de tejido esplénico asociada con un origen postraumático o posquirúrgico del bazo.1 Se estima que hasta el 67% de las lesiones del bazo resultan en esplenosis.2 Esta afección benigna es consecuencia de la migración de tejido esplénico residual, que se implanta en la cavidad torácica o abdominopélvica o, en casos excepcionales, en el cerebro debido a la diseminación intravascular de las células esplénicas.3 Puede transcurrir asintomática y en la mayoría de los casos se detecta como un hallazgo.1 Las manifestaciones clínicas se originan por el efecto de masa o el sangrado de los nódulos esplénicos.1

El síntoma principal asociado es el dolor abdominopélvico, seguido de sangrado uterino anormal, dismenorrea y dispareunia.4 Dependiendo de la localización puede ser causa de infertilidad, síntomas urinarios o sangrado rectal.4

Debido a las características de imagen inespecíficas de este padecimiento, como el aumento de la vascularidad, mediante otras técnicas de imagen puede confundirse con enfermedad neoplásica o metastásica, endometriosis y peritonitis granulomatosa, entre otras.5

Con base en la capacidad fagocítica del tejido esplénico, la gammagrafía con Tec-99 permite el diagnóstico de esplenosis y evita el riesgo potencial de complicaciones de los procedimientos invasivos necesarios para la evaluación histopatológica.6 Sin embargo, en casos donde el diagnóstico no es concluyente, la exploración laparoscópica se vuelve esencial porque permite una evaluación visual directa para la toma de biopsia.7

El tratamiento de la esplenosis asintomática es expectante y en los casos sintomáticos se recomienda la resección quirúrgica.8

CASO CLÍNICO

Paciente de 52 años, con antecedentes de esplenectomía postraumática a los siete años, dos embarazos, dos cesáreas y con un cuadro clínico de dolor pélvico intermitente y punzante, con disminución parcial a la ingesta de analgésicos no esteroideos, con sangrado uterino aumentado en cantidad de nueve meses de evolución. Durante la exploración ginecológica la paciente se encontró sin datos de irritación peritoneal o visceromegalias. Al tacto bimanual el cuello del útero se advirtió de consistencia regular, cerrado, ligeramente aumentado de tamaño, móvil, doloroso a la palpación profunda en el hipogastrio y la fosa iliaca derecha, con una tumoración anexial no delimitada, fondos de saco libres, sin pérdidas transvaginales.

Los estudios de laboratorio reportaron: hemoglobina 14.2 g/dL, hematocrito 42.1%, plaquetas 301 x 10/μL, leucocitos 6.17 x 10/μL, glucosa 87.9 mg/dL, urea 33.8 mg/dL, creatinina 0.73 mg/dL, tiempo de protrombina 12.7 s, tiempo de tromboplastina parcial 29.4 s, marcadores tumorales: deshidrogenasa láctica (LDH) 134.1 U/L, antígeno CA-125 37.2 U/mL, antígeno carcinoembrionario 0.96 ng/mL.

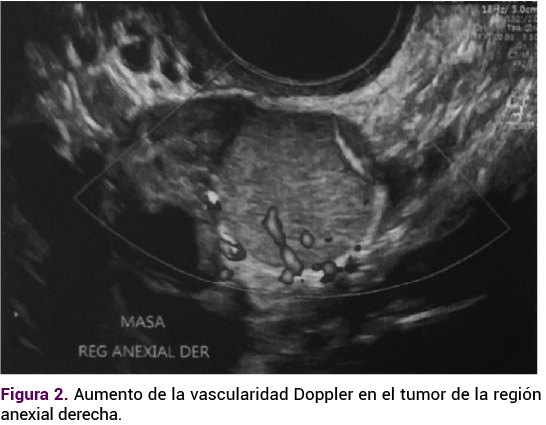
En el ultrasonido endovaginal el útero se encontró aumentado de tamaño debido a la miomatosis uterina intramural y subserosa de medianos elementos, con imagen isoecoica, extraovárica, de 26 x 20 x 18 mm, en la región anexial derecha entre el útero y el ovario ipsilateral, que a la aplicación de Doppler mostró aumento de la vascularidad.

<strong>Figura 1</strong>
Figura 1. A. Imagen de bordes regulares en la región anexial derecha. B. Miomatosis uterina en la pared anterior.
<strong>Figura 2</strong>
Figura 2. Aumento de la vascularidad Doppler en el tumor de la región anexial derecha.
<strong>Figura 3</strong>
Figura 3. Imagen de tumor anexial extraovárico entre el útero y el anexo derecho.

El caso se comentó con todos los integrantes del servicio y se decidió la laparoscopia con: histerectomía total con resección del tumor anexial. Durante la cirugía, en un primer tiempo, se efectuó la histerectomía, sin contratiempos. En el anexo derecho se apreció un tumor de 3 x 2 cm, de bordes bien definidos, móvil, con vasculatura superficial aumentada, sin focos de necrosis o sangrado. La apertura de la tumoración se hizo con corte frío y se encontró tejido friable. La escisión del tumor fue total, con aplicación de endo-loop en la base, con adecuada hemostasia y extracción del tumor por medio de una endobolsa.

<strong>Figura 4</strong>
Figura 4. Tumor íntegro, dependiente del anexo derecho; procedimiento laparoscópico.
<strong>Figura 5</strong>
Figura 5. Disección de la cápsula del tumor sólido, dependiente del anexo derecho. Acceso laparoscópico.

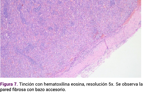
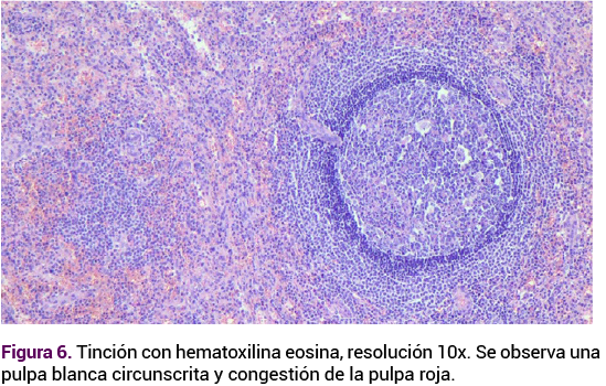
El informe histopatológico fue de: tumor anexial derecho de tejido esplénico accesorio, multifragmentado, con congestión de la pulpa roja.

<strong>Figura 6</strong>
Figura 6. Tinción con hematoxilina eosina, resolución 10x. Se observa una pulpa blanca circunscrita y congestión de la pulpa roja.
<strong>Figura 7</strong>
Figura 7. Tinción con hematoxilina eosina, resolución 5x. Se observa la pared fibrosa con bazo accesorio.

DISCUSIÓN

El estudio de Peitsidis y colaboradores reportó una muestra de 85 pacientes con esplenosis pélvica en la que observaron que la edad media a la ruptura fue a los 51 años.4 El factor de riesgo obligado fue el antecedente de esplenectomía por ruptura esplénica, en la mayoría de los casos consecutivo a un traumatismo cerrado de abdomen.4 El dolor abdominopélvico se identificó como el síntoma principal.4 Casi la mitad de las pacientes tuvo, además, esplenosis extrapélvica.4

La extensa vascularización de los implantes esplénicos aumenta el riesgo de diagnóstico erróneo de malignidad o metástasis, sobre todo en pacientes con otros antecedentes oncológicos.4

Por su alta sensibilidad y especificidad, la gammagrafía con Tc-99 es la técnica de imagen patrón de referencia para el diagnóstico diferencial y determinar si es necesaria o no la resección quirúrgica.9

En la evaluación del dolor abdominopélvico es importante considerar los antecedentes de rotura esplénica o esplenectomía porque la esplenosis suele ser una respuesta compensatoria a la asplenia.6 En la actualidad sigue siendo un padecimiento infradiagnosticado.6 La atención médica de estos casos debe ser multidisciplinaria ante la posibilidad de otros posibles diagnósticos.6

CONCLUSIONES

La esplenosis pélvica es una afección poco frecuente, que puede simular diversas enfermedades del hueco pélvico. El antecedente de traumatismo esplénico, o la esplenectomía asociada con dolor pélvico, son decisivos para la sospecha diagnóstica. La evaluación mediante medicina nuclear es el método diagnóstico de elección que evita intervenciones innecesarias. Ante casos no concluyentes, el estudio histopatológico ofrece un diagnóstico definitivo, donde la cirugía de mínima invasión desempeña un papel fundamental para la toma de biopsia y tratamiento del padecimiento.

Referencias

  1. Spaziani E, Di Filippo AR, Valle G, et al. Post-traumatic multifocal abdominal splenosis. The role of the clinical history. Case report and review of literature. Ann Ital Chir 2022; 11: https://pubmed.ncbi.nlm.nih.gov/36504183/
  2. Maggialetti N, Ciaccia M, Rubini D, et al. Multimodal study of pelvic splenosis: a rare cause of abdominal pain. Radiol Case Rep 2022; 17 (10): 3601-6. https://doi.org/10.1016/j.radcr.2022.06.096
  3. Peter C, Tille JC, Botsikas D, Petignat P. Pelvic splenosis mimicking a suspicious adnexal mass. BMJ Case Rep 2021; 14 (7): e243505. https://doi.org/10.1136/bcr-2021-243505
  4. Peitsidis P, Iavazzo C, Tsikouras P, Gkegkes ID. Pelvic splenosis: A systematic review of the literature. Clin Ter 2023; 174 (4): 379-85. https://doi.org/10.7417/ct.2023.2453
  5. Chapagain A, Yadav GK, Bhandari S, et al. Multiple intra-abdominal splenosis with imaging correlative findings: A case report and review of literature. Radiol Case Rep 2024; 19 (10): 4312-5. https://doi.org/10.1016/j.radcr.2024.06.084
  6. Alves FB, Rombo DM, Veiga V, Correia PS, et al. Abdominal splenosis mimicking peritoneal carcinomatosis of ovarian cancer. Radiol Case Rep 2023; 18 (3): 932-5. https://doi.org/10.1016/j.radcr.2022.11.071
  7. Yang L, Cao Y, Yang R, Jia Z. Pelvic Splenosis Mimicking Pelvic Tumor. J Minim Invasive Gynecol 2025; 32 (7): 567-8. https://doi.org/10.1016/j.jmig.2024.11.011
  8. Tikvica Luetić A, Habek D, Berberović E, Dermit K, Cerovac A. Letter to the editor: Laparoendoscopy in diagnostic and treatment of a rare case of pelveoperitoneal splenosis mimicking adnexal tumors. Eur J Obstet Gynecol Reprod Biol 2022; 278: 197-8. https://doi.org/10.1016/j.ejogrb.2022.09.017
  9. Otero M, Cutillas R, Soria-Merino M, et al. Utilización de hematíes marcados con 99mTc y desnaturalizados por calor en el diagnóstico gammagráfico de un caso infrecuente de esplenosis intratorácica. Ars Pharmaceutica 2018; 59: 259-62. https://doi.org/10.30827/ars.v59i4.8110
Enviar un comentario

Te puede interesar