Información exclusiva para profesionales de la salud
← Volver al número Ver PDF

Integración de la ecografía 2D/3D con la resonancia magnética fetal en el asesoramiento prenatal de Diprosopus tetrophtalmus

Integration of 2D/3D Ultrasound with fetal magnetic resonance imaging in prenatal counseling of Diprosopus tetrophtalmus.



RESUMEN

Antecedentes: Diprosopus es una anomalía congénita, poco frecuente, que implica la duplicación craneofacial. Su causa sigue sin conocerse, aunque sí se sabe de la participación de la variante del gen Dix homeobox y de la deleción cromosómica hereditaria recesiva ligada al cromosoma X 4q34.3. El diagnóstico suele establecerse, antes del nacimiento, con ecografía bidimensional (2D), aunque la ecografía tridimensional (3D) y la resonancia magnética son métodos complementarios para orientar el asesoramiento de la paciente y planificar la atención del parto.

Caso clínico: Feto diagnosticado con duplicación facial asociada con encefalocele a las 27 semanas de gestación mediante ecografía 2D. La ecografía 3D fue útil para caracterizar los rasgos faciales del feto con Diprosopus tetrophtalmus y proporcionar una mejor comprensión de esta anomalía compleja a los padres, mientras que la resonancia magnética fetal reveló la agenesia del cuerpo calloso y la duplicación cerebral. Después de un asesoramiento extenso, la paciente decidió la interrupción del embarazo. Los reportes de la autopsia confirmaron la duplicación facial completa (cuatro ojos, dos narices, dos bocas y dos maxilares) y las graves malformaciones del sistema nervioso central.

Conclusión: La resonancia magnética fetal es un método valioso en la evaluación prenatal y el asesoramiento de las anomalías craneofaciales, como el Diprosopus tetrophtalmus cuando se utiliza en combinación con imágenes por ultrasonido.

Palabras clave: Ultrasonografía, resonancia magnética, anomalía craneofacial, anomalía congénita, consejería genética

ABSTRACT

Background: Diprosopus is a rare congenital anomaly involving craniofacial duplication. While its exact cause is unknown, the involvement of the DIXDC1 gene variant and a recessive chromosomal deletion linked to chromosome Xq43 is known. A diagnosis can usually be made before birth using two-dimensional (2D) ultrasound. However, three-dimensional (3D) ultrasound and magnetic resonance imaging are useful for guiding patient counseling and planning delivery care.

Clinical case: Fetus diagnosed with duplication and encephalocele at 27 weeks of gestation using 2D ultrasound. Three-dimensional ultrasound was useful in characterizing the fetus's facial features with Diprosopus tetrophtalmus and providing the parents with a better understanding of this complex anomaly. Fetal magnetic resonance imaging revealed agenesis of the corpus callosum and cerebral duplication. After extensive counseling, the patient decided to terminate the pregnancy. Autopsy reports confirmed complete facial duplication (four eyes, two noses, two mouths, and two jaws) and severe central nervous system malformations.

Conclusion: Fetal magnetic resonance imaging is a valuable method for the prenatal evaluation and counseling of craniofacial anomalies such as Diprosopus tetrophtalmus when used in combination with ultrasound imaging.

Keywords: Ultrasonography, Magnetic resonance, Craniofacial abnormalities, Congenital abnormalities, Genetic counseling


ANTECEDENTES

Las anomalías craneofaciales fetales varían desde presentaciones leves hasta graves, con afectación en diferentes estructuras.1 El grado de desfiguración y deterioro funcional puede tener importantes variaciones que dependerán de la naturaleza y la gravedad específica de las anomalías.1 El diprosopus, o duplicación craneofacial, es una forma muy poco común de gemelos siameses; su incidencia aproximada es de 1 caso por cada 180,000 a 15,000,000 nacimientos.2,3 Representa uno de los diagnósticos más desafiantes en virtud de la amplia gama de características morfológicas implicadas.2,3

Los avances en imágenes prenatales, como la ecografía y la resonancia magnética, han transformado el enfoque de las anomalías congénitas al permitir el diagnóstico prenatal y la planificación de intervenciones futuras.4 Este enfoque permite el adecuado asesoramiento a los padres, la evaluación de causas genéticas y la planificación del parto.4 Ayudar a una familia a través de este proceso puede representar un desafío para el equipo médico, pero refleja un esfuerzo concertado para mejorar el desenlace general y la experiencia de todos los pacientes implicados.4

Este reporte de caso tiene como objetivo mostrar cómo la ecografía bidimensional y tridimensional, junto con la resonancia magnética fetal y la tomografía computada, aportan información prenatal valiosa y son métodos complementarios del estudio por imágenes de anomalías estructurales craneales y faciales fetales, como el diprosopus tetrophtalmus (duplicación craneofacial).4 Enseguida se exponen los distintos métodos y mecanismos fisiopatológicos para educar a los proveedores implicados en el diagnóstico de esta excepcional anomalía fetal.4

CASO CLÍNICO

Paciente de 22 años, con primer embarazo previo sin complicaciones, enviada a un centro de atención terciaria a las 27 semanas de gestación para el estudio ecográfico de detalle anatómico. No se identificaron factores de riesgo. El único antecedente fue el diagnóstico de epilepsia, libre de crisis durante los últimos seis años. Se había practicado dos ecografías previas: la primera a las 15 semanas con reporte de normalidad y la segunda a las 26 semanas con sospecha de holoprosencefalia y ausencia congénita de vermis cerebeloso.

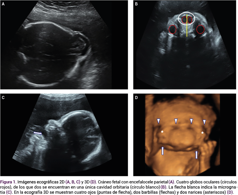
La evaluación detallada de la anatomía fetal a las 27 semanas mostró un cráneo único, con un encefalocele parietal, macrocefalia, interrupción de la línea media con fusión de los ventrículos laterales, sospecha de agenesia del cuerpo calloso, hipoplasia cerebelosa y cisterna magna agrandada. La cara tenía cuatro ojos, dos orejas, dos narices, dos bocas y dos mentones con micrognatia; estos rasgos se confirmaron y caracterizaron con ecografía tridimensional. No se identificaron otras anomalías y la ecocardiografía fetal se reportó normal.

<strong>Figura 1</strong>
Figura 1. Hallazgos por ultrasonido 2D/3D con duplicación facial y encefalocele, con caracterización detallada de rasgos craneofaciales.

La resonancia magnética fetal reveló, además de la duplicación facial, dos tejidos parenquimatosos cerebrales distintos, junto con agenesia del cuerpo calloso, encefalocele y dilatación de los ventrículos laterales posteriores. La tomografía computada, sin contraste, confirmó los hallazgos. El cariotipo fetal fue normal (46 XY) en la amniocentesis y no se identificaron deleciones, duplicaciones ni variantes en el microarray ni en el panel de secuenciación de nueva generación para anomalías faciales.

<strong>Figura 2</strong>
Figura 2. Imágenes por resonancia magnética fetal y tomografía computada que documentan duplicación cerebral y alteraciones mayores del sistema nervioso central.

Los padres tuvieron una consulta multidisciplinaria con especialistas en medicina materno fetal, neonatología, genética, radiología y cuidados paliativos, y se discutieron los reportes de la ecografía tridimensional, la resonancia magnética y la tomografía computada. En virtud de las múltiples anomalías graves, los padres optaron por la interrupción del embarazo a las 29 semanas. Se llevó a cabo un feticidio selectivo, con instilación intracardiaca de cloruro de potasio. Ante la presentación podálica, las avanzadas semanas de gestación y la macrocefalia con el riesgo asociado de desproporción cefalopélvica se procedió a la cesárea.

Se obtuvo un neonato masculino que, en el examen macroscópico, confirmó la duplicación facial completa y el encefalocele parietal con un solo tronco. La autopsia reportó cambios autolíticos y confirmó los hallazgos prenatales. Se obtuvo el consentimiento informado por escrito de la madre para la publicación del caso.

<strong>Figura 3</strong>
Figura 3. Confirmación posnatal y macroscópica de duplicación facial completa y encefalocele parietal.

DISCUSIÓN

Los gemelos siameses son un tipo muy poco frecuente de gemelos monoamnióticos, con una ocurrencia estimada de 1.5 casos por cada 100,000 nacimientos en todo el mundo.5 Estos gemelos se clasifican en: cefalópagos, toracópagos, onfalópagos, isquiópagos, parápagos, craneópagos, raquípagos y pigópagos según el sitio de fusión.6 Diprosopus (del griego: di-dos; prósopon-cara) es una variedad del tipo parápagos que se caracteriza por una duplicación craneofacial parcial o completa (donde las estructuras duplicadas se numeran como di-tri-tetra) y, generalmente, se asocia con un solo tronco y miembros normales.2,6

Gorlin y colaboradores destacaron cuatro tipos de duplicaciones craneofaciales: 1) boca única con duplicación del arco maxilar, 2) boca supernumeraria colocada lateralmente con segmentos rudimentarios, 3) boca única con réplica de los segmentos mandibulares y 4) duplicación facial verdadera; esta última es la que se reporta en el caso.2,6

La causa de esta anomalía no se ha aclarado del todo, aunque se han propuesto varias teorías para explicarla.7,8 Entre los mecanismos patogénicos para la aparición del diprosopus se encuentran: fusión ventrolateral temprana de dos discos embrionarios monocigóticos, con reorganización de los tejidos fusionados que conduce a una aplasia secundaria y divergencia de los tejidos de la línea media; neurocristopatía con fusión en una gestación monocigótica que produce dos notocordas que, luego, generan una placa neural cefálica duplicada, una cresta neural craneal extramedial y alteraciones en el mesodermo paraxial; y dos nodos primitivos tempranos en un solo embrión antes de la formación de la notocorda.9

Entre las alteraciones genéticas asociadas se encuentran las variantes del gen Dix homeobox, aumento de la señalización de Sonic Hedgehog10 y deleción cromosómica 4q34.3 hereditaria recesiva ligada al cromosoma X.11 Para el caso aquí reportado no se identificaron anomalías ni en el cariotipo, ni el array CGH, ni en el panel de secuenciación de nueva generación.11

En la bibliografía consultada, hasta antes de enviar el escrito a publicación, se encontraron registros de 40 casos de diprosopus.12 Sin embargo, solo la mitad tenían duplicación facial completa, caracterizada por dos bocas, dos narices y cuatro ojos.12 Esta anomalía implica un mal pronóstico debido a la frecuente coexistencia de otras anomalías congénitas.12 Boer y coautores, en su revisión, clasifican a los gemelos siameses unidos lateralmente en dos fenotipos, los parápagos dicefálicos y los parápagos diprosopus.13 La anomalía más común en el sistema nervioso central es la anencefalia.13 Entre otras anomalías congénitas asociadas están las malformaciones cerebrales (96%)9,12,14, los defectos cardiacos (86%) y la hernia diafragmática (42%).12 Para el caso que aquí se comunica, solo se encontraron malformaciones en el sistema nervioso central: agenesia del cuerpo calloso, encefalocele y dilatación de las astas posteriores de los ventrículos laterales.9,12,14

El tamiz prenatal, con ecografía bidimensional y tridimensional, puede detectar las malformaciones craneofaciales.15 En muchos casos, una exploración dirigida requiere de otras técnicas adicionales que permitan mejorar la precisión del diagnóstico por ultrasonido.15 En el caso aquí comunicado, el diagnóstico prenatal de duplicación facial completa y encefalocele se estableció con base en una ecografía bidimensional y la ecografía 3D facilitó un examen detallado de los rasgos faciales, lo que finalmente confirmó el diagnóstico de diprosopus.15 Las imágenes de la ecografía 3D también desempeñaron un papel decisivo en la ayuda a la paciente y su familia para comprender la naturaleza compleja de esta malformación.15 Garel y su grupo reportaron la importancia de las técnicas adicionales: la resonancia magnética como método complementario en la evaluación de las afecciones craneofaciales, que destacan la mejor visualización de las estructuras, la ausencia de radiación ionizante y la calidad de las imágenes a pesar de la obesidad de la madre o la cantidad de líquido amniótico.15 Esos mismos autores reportan la importancia de la tomografía computada, teniendo en cuenta el principio ALARA en la aplicación de bajas dosis de radiación.15 Para el estudio del caso aquí comunicado, la resonancia magnética fetal aportó información valiosa del sistema nervioso central al demostrar la duplicación cerebral y la agenesia del cuerpo calloso.15 A pesar de haberse diagnosticado al finalizar el segundo trimestre, la combinación de la ecografía detallada y la resonancia magnética proporcionó información prenatal precisa.15 Esto guió la elección de la paciente con respecto al control del embarazo y permitió a la familia y a los médicos implementar un plan de parto integral.15

CONCLUSIÓN

La resonancia magnética fetal es un método valioso en la evaluación prenatal y en el asesoramiento de anomalías craneofaciales como el Diprosopus tetrophtalmus cuando se utiliza en combinación con imágenes por ultrasonido.

Referencias

  1. Rehder H, Kircher SG, Schoner K, et al. Brain malformations in diprosopia observed in clinical cases, museum specimens and artistic representations. Orphanet J Rare Dis 2023; 18 (1): 1-14. https://doi.org/10.1186/s13023-023-02617-5
  2. Salah FO, Zewdie YG, Ambachew S, Nour AS, et al. Partial facial duplication (diprosopus): a case report and review of the literature. J Med Case Rep 2024; 18 (1): 1-5. https://doi.org/10.1186/s13256-024-04423-4
  3. Trevisani V, Balestri E, Napoli M, Caraffi SG, Baroni MC, Peluso F, et al. Diprosopus: A Rare Case of Craniofacial Duplication and a Systematic Review of the Literature. Genes (Basel). 2023; 14 (9). https://doi.org/10.3390/genes14091745
  4. Zemet R, Amdur-Zilberfarb I, Shapira M, Ziv-Baran T, et al. Prenatal diagnosis of congenital head, face, and neck malformations. Is complementary fetal MRI of value? Prenat Diagn. 2020; 40 (1): 142-150. https://doi.org/10.1002/pd.5593
  5. Mutchinick OM, Luna-Muñoz L, Amar E, Bakker MK. Conjoined twins: a worldwide collaborative epidemiological study of the International Clearinghouse for Birth Defects Surveillance and Research. Am J Med Genet C Semin Med Genet. 2011; 176 (3): 139-148. https://doi.org/10.1002/ajmg.c.30321
  6. Baken L, Rousian M, Kompanje EJO, Koning AHJ, et al. Diagnostic techniques and criteria for first-trimester conjoined twin documentation: A review of the literature illustrated by three recent cases. Obstet Gynecol Surv 2013; 68 (11): 743-752. https://doi.org/10.1097/OGX.0000000000000000
  7. Sah D, Gupta M, Yadav S, Kumar A. Prenatal diagnosis of the rarest conjoint twin “diprosopus tetrophthalmus” during anomaly scan: A case report. Radiol Case Rep. 2024; 19: 6281-6285. https://doi.org/10.1016/j.radcr.2024.09.019
  8. Spencer R. Theoretical and analytical embryology of conjoined twins: Part II: Adjustments to union. Clin Anat 2000; 13 (2): 97-120. https://doi.org/10.1002/(SICI)1098-2353(2000)13:1<36::AID-CA5>3.0.CO;2-3
  9. Nair NM, Swarr DT, Barnes-Davis ME. Preterm infant with diprosopus and holoprosencephaly. Clin Case Reports 2021; 9 (12): 4-8. https://doi.org/10.1002/ccr3.5163
  10. Thornton KM, Bennett T, Singh V, Mardis N, et al. A Case of Diprosopus: Perinatal Counseling and Management. Case Rep Pediatr 2014; 2014: 1-4. https://doi.org/10.1155/2014/279815
  11. Xu W, Ahmad A, Dagenais S, Iyer RK, et al. Chromosome 4q deletion syndrome: Narrowing the cardiovascular critical region to 4q32.2-q34.3. Am J Med Genet Part A. 2012; 158A (3): 635-640. https://doi.org/10.1002/ajmg.a.34425
  12. Bhuyan M, Haque I. Diprosopus a rare craniofacial malformation. Asian J Neurosurg. 2018; 13 (4): 1257-1259. https://doi.org/10.4103/ajns.AJNS_202_17
  13. Boer LL, Winter E, Gorissen B, Oostra RJ. Phenotypically Discordant Anomalies in Conjoined Twins: Quirks of Nature Governed by Molecular Pathways? Diagnostics. 2023; 13 (22). https://doi.org/10.3390/diagnostics13223427
  14. Bidondo MP, Groisman B, Tardivo A, Tomasoni F, et al. Diprosopus: Systematic review and report of two cases. Birth Defects Res Part A - Clin Mol Teratol 2016; 106 (12): 993-1007. https://doi.org/10.1002/bdra.23549
  15. Garel C, Vande Perre S, Guilbaud L, Soupre V, et al. Contribution of computed tomography and magnetic resonance imaging in the analysis of fetal craniofacial malformations. Pediatr Radiol 2021; 51 (10): 1917-1928. https://doi.org/10.1007/s00247-021-05033-8
Enviar un comentario

Te puede interesar