Información exclusiva para profesionales de la salud
← Volver al número Ver PDF

Miomectomía en el segundo trimestre del embarazo de un gran mioma sintomático

Myomectomy in the second trimester of pregnancy for a large symptomatic fibroid.



RESUMEN

Antecedentes: El leiomioma es un tumor benigno que afecta a mujeres en edad reproductiva. Puede asociarse con el embarazo y, en la mayoría de los casos, sin complicaciones. En caso de crecimiento rápido o dolor puede requerirse la miomectomía.

Caso clínico: Paciente de 19 años, con mioma único, complicado con dolor a pesar del tratamiento médico. A las 21 semanas requirió la miomectomía, de un mioma intra-ligamentario de 20 x 18 x 11 cm y 2410 g. La evolución fue satisfactoria, llegó a las 38 semanas y por registro categoría II se decidió la cesárea, con obtención de un neonato de 2515 g, Apgar 8-9, con evolución satisfactoria.

Conclusión: El requerimiento de miomectomía durante el embarazo está poco descrito; no obstante, debe establecerse con base en el tamaño del mioma, localización y ritmo de crecimiento; esto para prevenir eventos adversos en el feto y la madre. El procedimiento quirúrgico deberá estar a cargo de un cirujano experimentado.

Palabras clave: Mioma, feto, madres, leiomioma, embarazo, dolor, miomectomía uterina, neonato, cirujano

ABSTRACT

Background: Leiomyoma is a benign tumor that affects women of reproductive age. It may be associated with pregnancy and in most cases without complications. In case of rapid growth or pain, myomectomy may be required.

Clinical case: 19-year-old female patient with single myoma complicated by pain despite medical treatment. At 21 weeks she required myomectomy of an intra-ligamentary myoma measuring 20 x 18 x 11 cm and 2410 g. The evolution was satisfactory, she reached 38 weeks and due to the category II registry a cesarean section was decided, obtaining a neonate of 2515 g, Apgar 8-9, with satisfactory evolution.

Conclusion: The necessity of myomectomy during pregnancy is little described; however, it should be established based on myoma size, location and growth rate; this to prevent adverse events in the fetus and mother. The surgical procedure should be performed by an experienced surgeon.

Keywords: Myoma, Fetus, Mothers, Leiomyoma, Pregnancy, Pain, Uterine myomectomy, Neonate, Surgeon


ANTECEDENTES

La leiomiomatosis uterina es un padecimiento benigno del músculo liso que afecta del 4.5 al 77% de las mujeres.1-4 La prevalencia de fibromas uterinos en mujeres embarazadas va del 2.8 al 16.7%, un 10% son hispanas.5-8 Gran parte de los leiomiomas uterinos son asintomáticos, mientras que del 10 al 30% se complican durante el embarazo, nacimiento y puerperio.5,9,10 Los factores más relevantes que determinan la morbilidad durante el embarazo incluyen: cantidad, tamaño, localización y relación con la implantación de la placenta.11 La mayor parte de los miomas (60-70%) no sufren cambios durante el embarazo.5,11 La tasa máxima de crecimiento del leiomioma sucede durante el primero y segundo trimestres del embarazo.12 El síntoma más frecuente es el dolor abdominal cuando los miomas crecen más rápido y reciben menor flujo sanguíneo y conducen a la isquemia y necrosis; también puede haber fiebre y sangrado transvaginal.13 El tratamiento de los leiomiomas durante el embarazo es médico y, en raras circunstancias, cuando los síntomas persisten durante 72 horas de tratamiento conservador o ante la sospecha de torsión de un fibroma pedunculado, la opción es la intervención quirúrgica (miomectomía).14,15

CASO CLÍNICO

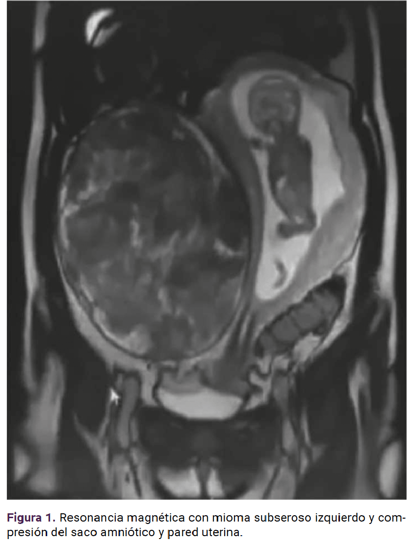
Paciente de 19 años, primigesta, con antecedente heredofamiliar (tía paterna) de cáncer de ovario. Acudió a consulta para control prenatal a las siete semanas de gestación, con dolor abdominal y crecimiento rápido de un tumor abdominal. Durante la exploración física el abdomen se palpó globoso, a expensas del tumor abdominopélvico, a 2 cm por arriba de la cicatriz umbilical, móvil, con dolor a la palpación media y profunda. El ultrasonido reportó un mioma subseroso de 15.4 x 7.3 cm y la resonancia magnética concluyó que se trataba de un mioma con diámetro mayor de 24 centímetros que desplazaba y comprimía la cavidad amniótica (Figura 1). En la interconsulta con el ginecooncólogo se planteó la posibilidad de complicaciones conforme el mioma fuera creciendo; por ello se decidió la miomectomía abierta en el segundo trimestre de la gestación. La miomectomía se llevó a cabo, sin ingreso a la cavidad uterina, a las 21.4 semanas y se extirpó un mioma intraligamentario de 20 x 18 x 11 cm y 2410 g (Figuras 2, 3 y 4) con sangrado de 900 mL y las dificultades propias de un mioma hipervascularizado. El estudio transoperatorio reportó: leiomioma con cambios hidrópicos, negativo para malignidad (mismo diagnóstico del reporte definitivo). Se finalizó el procedimiento y se corroboró la frecuencia cardiaca fetal de 150 lpm. El resto del control prenatal transcurrió sin complicaciones y se finalizó el embarazo a las 38.0 semanas mediante cesárea, indicada por registro cardiotocográfico categoría II (línea basal con bradicardia con mínima variabilidad y ausencia de aceleraciones), sin complicaciones, con sangrado de 300 mL y obtención de una recién nacida de 2515 g, Apgar 8-9. A petición de la paciente se le colocó un dispositivo intrauterino de levonorgestrel, como método de control de la fertilidad.

<strong>Figura 1</strong>
Figura 1.

En la interconsulta con el ginecooncólogo se planteó la posibilidad de complicaciones conforme el mioma fuera creciendo; por ello se decidió la miomectomía abierta en el segundo trimestre de la gestación. La miomectomía se llevó a cabo, sin ingreso a la cavidad uterina, a las 21.4 semanas y se extirpó un mioma intraligamentario de 20 x 18 x 11 cm y 2410 g (Figuras 2, 3 y 4) con sangrado de 900 mL y las dificultades propias de un mioma hipervascularizado.

<strong>Figura 2</strong>
Figura 2.
<strong>Figura 3</strong>
Figura 3
<strong>Figura 4</strong>
Figura 4.

El estudio transoperatorio reportó: leiomioma con cambios hidrópicos, negativo para malignidad (mismo diagnóstico del reporte definitivo). Se finalizó el procedimiento y se corroboró la frecuencia cardiaca fetal de 150 lpm. El resto del control prenatal transcurrió sin complicaciones y se finalizó el embarazo a las 38.0 semanas mediante cesárea, indicada por registro cardiotocográfico categoría II (línea basal con bradicardia con mínima variabilidad y ausencia de aceleraciones), sin complicaciones, con sangrado de 300 mL y obtención de una recién nacida de 2515 g, Apgar 8-9. A petición de la paciente se le colocó un dispositivo intrauterino de levonorgestrel, como método de control de la fertilidad.

DISCUSIÓN

La miomatosis uterina, concurrente con el embarazo, es un reto diagnóstico debido a la evaluación limitada mediante ultrasonido porque solo se diagnostican entre el 1.4 a 9.6% de los casos.3,8 Se ha sugerido que, en la mayoría de los casos, el embarazo se asocia con crecimiento de los fibromas uterinos.8 Las principales complicaciones de los embarazos con miomatosis uterinas incluyen: aborto, dolor, amenaza de parto pretérmino, síntomas compresivos, ruptura de membranas, parto pretérmino, anomalías en la presentación y placentación y hemorragia ante y posparto.5,16,17 Una de las principales causas por las que se difiere el tratamiento quirúrgico durante el embarazo es el incremento del flujo sanguíneo fisiológico; su manipulación puede predisponer una infección, nacimiento pretérmino y dehiscencia.18 Las indicaciones más comunes de la miomectomía incluyen al dolor sin respuesta al tratamiento médico después de 72 horas, crecimiento rápido o cambios en la lesión, compresión de los órganos pélvicos y riesgo de eventos fetales adversos (síndrome de compresión, oligoamnios, restricción del crecimiento y anormalidades en el sitio placentario).12,18

Está reportado que la miomectomía prenatal puede practicarse de forma segura en el primer y segundo trimestres del embarazo.19,20,21

De las series reportadas, la de Cavaliere y su grupo22 informó el caso de nueve pacientes con mioma mayor de 10 cm en quienes se practicó la miomectomía en el segundo trimestre, con pérdida de un caso.22 Diakosavvas y coautores7 reportaron, en una revisión de 71 casos: 30 primigestas; la mayor parte de los miomas eran subserosos de entre 4 y 40 cm, con complicaciones en tres casos.7 Babunashvili y colaboradores12 reportron a 28 mujeres embarazadas en quienes se practicó la miomectomía, con pérdida del embarazo en 4 de ellas.12

Un análisis de los casos reportados en la bibliografía sugiere que la miomectomía durante el embarazo puede ser segura.13,19 Algunos estudios han demostrado que en quienes se ha practicado esta intervención en el segundo trimestre del embarazo tienen mejores desenalces que en pacientes que optan por un tratamiento conservador.13,19,20

CONCLUSIÓN

En la paciente embarazada, la miomectomía, por laparotomía, se ha descrito poco; sin embrago, de los reportes se desprende que la decisión debe fundamentarse en el tamaño del mioma, localización, tipo y ritmo de crecimiento con la finalidad de prevenir complicaciones en el feto y en la madre. Debe llevarla a cabo un cirujano experimentado. Sus indicaciones más comunes son: el dolor agudo sin respuesta al tratamiento médico por más de 72 horas, crecimiento rápido, compresión de los órganos pélvicos y las situaciones clínicas que ponen en riesgo el embarazo, como la compresión fetal. En pacientes con miomas de gran tamaño la miomectomía previa al embarazo es lo recomendable.

Referencias

  1. Sparic R, Mirkovic L, Malvasi A, et al. Epidemiology or uterine myomas: a review. Int J Fertil Steril 2016; 9 (4): 424-35. 10.22074/ijfs.2015.4599
  2. Stewart EA, Cookson CL, Gandolfo RA, et al. Epidemiology of uterine fibroids: a systematic review. BJOG 2017; 124 (10): 1501-12. https://doi.org/10.1111/1471-0528.14640
  3. Pavone D, Clemenza S, Sorbi F, et al. Epidemiology and risk factors of uterine fibroids. Best Pract Res Clin Obstet Gynaecol 2018; 46: 3-11. 10.1016/bpobgyn.2017.09.024
  4. Giuliani E, As-Sanie S, Marsh EE. Epidemiology and management of uterine fibroids. Int J Gynecol Obstet 2020; 149 (1): 3- 9. https://doi.org/10.1002/ijgo.13102
  5. Milazzo GN, Catalano A, Badia V, et al. Myoma and myomectomy: poor evidence in pregnancy. Obstet Gynecol Res 2017; 43 (12): 1789-804. https://doi.org/10.1111/jog.13437
  6. Mahalingam M, Hu M, Schointuch M, Szychowski JM, et al. Uterine myomas: effect of prior myomectomy on pregnancy outcomes. J Matern Fetal Neonat Med 2022; 35 (25): 8492-7. https://doi.org/10.1080/14767058.2021.1984424
  7. Diakosavvas M, Angelou K, Fasoulakisn N, et al. Myomectomy during pregnancy; diagnostical dilemmas: two cases report and a systematic review of the literature. J Obstet Gynaecol 2022; 42 (5): 757-65. https://doi.org/10.1080/01443615.2022.2036976
  8. Mitro SD, Peddada S, Chen Z, et al. Natural history of fibroids in pregnancy: National Institute of Child Health and Human Development Fetal Growth studies-singletons cohort. Fertil Steril 2022; 118 (4): 656-65. 10.116/fertnstert.2022.06.028
  9. Ezzedine D, Norwitz ER. Are women with uterine fibroids at increased risk for adverse pregnancy outcome? Clin Obstet Gynecol 2016; 59 (1): 119-27. 10.1097/GRF.0000000000000169
  10. Krimou Y, Erraghay S, Guennoun A et al. Myoma praevia and pregnancy. Pan Afr Med J 2019; 33: 216-23. https://doi.org.11604/pamj.2019.33.216.14898
  11. Al Sulaimani R, Machado L, Al Salmi M. Do large uterine fibroids impact pregnancy outcomes? Oman Medical J 2021; 36(4): e292. https://doi.org/10.5001/omj.2021.93
  12. Babunashvili EL, Son DY, Buyanova SN, et al. Outcomes of laparotomic myomectomy during pregnancy for symptomatic uterine fibroids: a prospective cohort study. J Clin Med 2023; 12 (9): 6406. https://doi.org/10.3390/jcm12196406
  13. Vitale S G, Paula F, Gudiño F A. Management of uterine fibroids in pregnancy: recent trends. Curr Opin Obstet Gynecol 2015; 27 (6): 432-7. 10.1097GCO.0000000000000220
  14. Parazzini F, Bianchi S, Tozzi I. Pregnancy outcome and uterine fibroids. Best Pract Res Clin Obstet Gynecol 2016; 34: 74- 84. https://doi.org/10.1016/j.bpobgyn.2015.11.017
  15. Fuchs A, Dulska A, Sikora J et al. Symptomatic uterine fibroids in pregnancy-wait or operate? Own experience. Ginekologia Polska 2019; 90 (6): 320-24. https://doi.org/10.5603/GP.2019.0058
  16. Jenabi E, Khazaei S. The effect of uterine leiomyoma on the risk of malpresentation and cesarean: a meta- analysis. J Matern Fetal Neonatal Med 2018; 31 (1): 87-92. https://doi.org/10.1080/14767058.2016.1275553
  17. Spyropoulou K, Kosmas I, Tsakiridis I et al. Myomectomy during pregnancy: a systematic review. Eur J Obstet Gynecol Reprod Biol 2020; 254: 15-24. https://doi.org/10.1016/j.ejogrb.2020.08.018
  18. Strobelt N, Ghidini A, Cavallone M, et al. Natural history of uterine leiomyomas in pregnancy. J Ultrasound Med 1994; 13 (5): 399-401. https://doi.org/10.7863/jum.1994.13.5.399
  19. Tian Y, Wang Q, Wang H, et al. Change of uterine leiomyoma size during pregnancy and the influencing factors: a cohort study. Int J Gynaecol Obstet 2021. https://doi.org/10.1002/ijgo.13903
  20. Allameh Z, Allameh T. Successful myomectomy in the second trimester of pregnancy. Adv Biomed Res 2019; 8: 60-3. https://doi.org/10.4103/abr.abr_236_18
  21. Rivera CE, Castañeda DM, Martínez SGL y col. Miomectomía durante el embarazo: leiomioma gigante con degeneración. Ginecol Obstet Méx 2021; 89(11). 898-904. https://doi.org/10.24245/gom.v89i11.5533
  22. Cavaliere A F, Vidiri A, Gueli Alleti S et al. Surgical treatment of “large uterine masses” in pregnancy: a single-center experience. Int J Environ Res Public Health 2021; 18: 12139. https://doi.org/10.3390/ijerph182212139
Enviar un comentario

Te puede interesar