Información exclusiva para profesionales de la salud
← Volver al número Ver PDF

Trasposición congénitamente corregida de las grandes arterias en paciente primigrávida: reporte de caso

Congenitally corrected transposition of the great arteries in a primigravida: A Case Report.



RESUMEN

ANTECEDENTES: La trasposición de las grandes arterias congénitamente corregida es una cardiopatía rara, que aparece en menos del 1% de los pacientes con cardiopatías congénitas, pero que durante el embarazo repercute en el pronóstico de la madre y su hijo por nacer.

CASO CLÍNICO: Paciente de 23 años, con antecedente de trasposición congénitamente corregida de las grandes arterias: dextrocardia y trasposición total o parcial de las vísceras torácicas o abdominales (situs inversus totalis) diagnósticada a los 13 años. Se embarazó y careció de un adecuado control prenatal. La primera valoración obstétrica se registró a las 25.5 semanas, por síntomas agudos, que ameritaron acudir a la atención médica. La vigilancia intrahospitalaria estuvo a cargo de un equipo multidisciplinario. Los especialistas en medicina materno fetal detectaron la restricción del crecimiento fetal a las 28 semanas. Luego de la maduración pulmonar se interrumpió el embarazo a las 30 semanas debido a las alteraciones en las pruebas de bienestar fetal. Se procedió a la cesárea de urgencia, sin contratiempos. Se obtuvo un feto vivo de 1175 g, Apgar 8-9. La paciente se dio de alta del hospital, sin complicaciones para su seguimiento en cardiología.

CONCLUSIÓN: La atención de pacientes embarazadas, con una cardiopatía congénita, requiere atención médica especializada y multidisciplinaria. La atención temprana y un enfoque proactivo son decisivos para optimizar los desenlaces materno-fetales. La trasposición de las grandes arterias congénitamente corregida tiene consideraciones únicas durante el embarazo; es fundamental considerar los cambios fisiológicos durante el embarazo y las malformaciones cardiacas adicionales que acompañan a esta rara cardiopatía para poder ofrecer una atención médica integral y conseguir que el desenlace sea favorable.

PALABRAS CLAVE: Transposición de grandes arterias corregida congénitamente, embarazo, adolescente, control prenatal, perinatología, puntuación de apgar, retraso del crecimiento fetal, defectos cardiacos congénitos

ABSTRACT

Background: Congenitally corrected transposition of the great arteries (CCTA) is a rare heart defect that occurs in less than 1% of patients with congenital heart disease. However, during pregnancy, CCTA affects the prognosis of both the mother and her unborn child.

Clinical case: A 23-year-old female patient with a history of congenitally corrected transposition of the great arteries, dextrocardia, and total or partial transposition of the thoracic or abdominal viscera (situs inversus totalis), which was diagnosed at age 13. She became pregnant and did not receive adequate prenatal care. The first obstetric assessment was performed at 25.5 weeks due to acute symptoms requiring medical attention. A multidisciplinary team carried out in-hospital monitoring. At 28 weeks, maternal-fetal medicine specialists detected fetal growth restriction. After the fetus's lungs matured, the pregnancy was terminated at 30 weeks due to abnormal fetal well-being test results. An emergency C-section was performed without complications. A live fetus weighing 1,175 grams was delivered with an Apgar score of 8–9. The patient was discharged from the hospital for follow-up in cardiology without complications.

Conclusion: In the care of pregnant patients with congenital heart disease requires specialized, multidisciplinary medical attention. Early intervention and a proactive approach are decisive to optimizing maternal and fetal outcomes. There are unique considerations for congenitally corrected transposition of the great arteries during pregnancy. It is essential to understand the physiological changes that occur during pregnancy and the additional heart malformations that accompany this rare heart disease in order to provide comprehensive medical care and achieve a favorable outcome.

Keywords: Congenitally corrected transposition of great arteries, Pregnancy, Adolescent, Prenatal care, Perinatology, Apgar score, Fetal growth retardation, Heart defects, congenital


ANTECEDENTES

Las cardiopatías congénitas son anomalías estructurales del corazón que representan una de las principales causas de morbilidad y mortalidad en la población pediátrica.1 Cuando esas afecciones coinciden con el embarazo pueden complicar significativamente el curso de la gestación, el parto y el puerperio.1 La incidencia de cardiopatías congénitas en la población general es de aproximadamente 8 por cada 1000 nacimientos, y estas afecciones pueden provocar problemas en la madre y en el feto: hipertensión pulmonar, insuficiencia cardiaca o complicaciones en el desarrollo fetal.1

La trasposición de las grandes arterias corregida congénitamente es una cardiopatía poco frecuente, que aparece en menos del 1% de los pacientes con cardiopatías congénitas.1 Se caracteriza por una discordancia ventrículo arterial y aurículo ventricular con situs auricular solitus en más del 95% de los casos e inversus aproximadamente en un 5%.1 Cuando la cardiopatía es aislada, sin incluir otros defectos cardiacos, los flujos sanguíneos son normales y los ventrículos están invertidos por error, pero existe una corrección fisiológica.1

El embarazo induce cambios en el sistema cardiovascular para satisfacer las mayores demandas metabólicas de la madre y el feto.2 El volumen plasmático y el gasto cardiaco alcanzan un máximo de 40 a 50% por encima de la línea de base a las 32 semanas de gestación, mientras que el 75% de este aumento ocurre al final del primer trimestre; esto debido a un incremento en la frecuencia cardiaca y el volumen sistólico, lo que es decisivo para mantener una adecuada perfusión uterina y placentaria.2 La ventilación aumenta para mejorar el intercambio de gases, asegurando la oxigenación adecuada del feto.3,4 Los diámetros auriculares y ventriculares se incrementan mientras se conserva la función ventricular.3,4

Para evaluar el riesgo de complicaciones cardiacas en la madre durante el embarazo debe evaluarse la condición de la paciente, teniendo en cuenta los antecedentes médicos, la clase funcional, la saturación de oxígeno, las concentraciones de péptidos natriuréticos, la evaluación ecocardiográfica de la función ventricular y valvular, las presiones intrapulmonares y los diámetros aórticos, la capacidad de ejercicio y las arritmias.5,6 El riesgo específico de la enfermedad debe evaluarse con base en la clasificación modificada de la Organización Mundial de la Salud.5,6

En este artículo se reporta el caso de una paciente con trasposición de grandes vasos corregida congénitamente, clase funcional IV de la OMS, con un embarazo no planeado, su tratamiento y los desenlaces perinatales.5,6

CASO CLÍNICO

Paciente de 23 años, originaria y residente de Peto, Yucatán, sin antecedentes heredofamiliares relevantes. Con antecedente de trasposición congénitamente corregida de las grandes arterias, dextrocardia y situs inversus totalis diagnosticada a los 13 años, sin tratamiento quirúrgico ni médico.

A los 22 años tuvo episodios de hipoxia por lo que se le practicó un cateterismo cardiaco. Se reportó situs inversus abdominoatrial, doble discordancia auriculoventricular y ventrículo arterial (transposición corregida de grandes arterias), comunicación interventricular e interauricular, ventrículo izquierdo pequeño, aorta a la derecha ligeramente anterior, arteria pulmonar a la izquierda, arco aórtico derecho, estenosis de la válvula pulmonar con gradiente ventrículo arteria pulmonar de 74 mmHg (entre el tronco de la arteria pulmonar y ventrículo izquierdo).

El tratamiento médico se inició con 25 mg de enalapril y 100 mg de metoprolol y espironolactona cada 24 horas. Cinco meses posteriores al cateterismo, la paciente tuvo un embarazo espontáneo, sin adecuado control prenatal y suspensión de los fármacos prescritos por decisión propia.

A las 25.5 semanas de gestación acudió a urgencias debido a disnea, fatiga y taquicardia desencadenadas por actividad física moderada. Se clasificó en clase funcional NYHA II, OMS IV. A la exploración física se la encontró con saturación de 89-90% con oxígeno suplementario, con un soplo expulsivo en foco pulmonar, el segundo ruido desdoblado, acropaquias, cianosis grado I, sin ingurgitación yugular. Los campos pulmonares se advirtieron con adecuada ventilación, sin integrarse un sindrome pleuropulmonar, abdomen gestante con frecuencia cardiaca fetal de 134 latidos por minuto, con movimientos fetales, sin actividad uterina ni modificaciones cervicales ni pérdidas transvaginales.

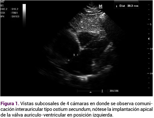
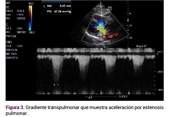
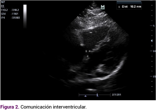
El ecocardiograma transtorácico reportó una comunicación interauricular tipo ostium secundum amplia de 27 mm (Figura 1) y comunicación interventricular subpulmonar de 15 mm (Figura 2), estenosis valvular pulmonar moderada con gradiente de 55 mmHg (Figura 3) ventrículos no dilatados, función sistólica preservada, presión sistólica ventricular ligeramente aumentada del ventrículo sistémico. Por lo anterior, se sugirió hipertensión pulmonar no grave, dextrocardia y situs inversus. Se confirmó el diagnóstico de trasposición congénitamente corregida de las grandes arterias.

<strong>Figura 1</strong>
Figura 1. Ecocardiograma con comunicación interauricular amplia tipo ostium secundum, con medición aproximada en corte diagnóstico.
<strong>Figura 2</strong>
Figura 2. Imagen ecocardiográfica compatible con comunicación interventricular subpulmonar, apreciable en ventana de evaluación estructural.
<strong>Figura 3</strong>
Figura 3. Doppler que sugiere estenosis valvular pulmonar con gradiente elevado, en el contexto de transposición corregida.

Como medida inicial se le indicó a la paciente reposo absoluto, con mantenimiento del oxígeno suplementario, 2.5 mg de espironolactona y bisoprolol cada 24 horas; se sugirió continuar con el embarazo actual hasta las 34 semanas, salvo que hubiera deterioro del estado clínico o hemodinámico, o la valoración por medicina materno fetal o lo que las condiciones obstétricas lo ameritaran.

La valoración por parte de los especialistas en medicina materno fetal detectó la restricción del crecimiento fetal a las 28.6 semanas de gestación, con peso por debajo de la curva de crecimiento en el percentil 1 por Hadlock, sin alteraciones hemodinámicas y la evaluación estructural cardiaca fetal sin alteraciones.

Se continuó la vigilancia con pruebas semanales de bienestar fetal y administración para maduración pulmonar fetal. A las 30 semanas de gestación se detectaron alteraciones en las pruebas de bienestar fetal (variabilidad mínima, ausencia de aceleraciones a pesar de las maniobras de reanimación intraútero, que se catalogaron como prueba sin estrés no reactiva) y un perfil biofísico con 4 puntos.

Por consenso multidisciplinario se decidió la interrupción del embarazo justificada por el riesgo de pérdida de bienestar fetal, con previa neuroprotección fetal. El embarazo se interrumpió por vía abdominal, con administración de anestesia general balanceada, inducción en secuencia rápida. Durante el procedimiento ameritó la administración de vasopresores y de un inotrópico.

Se obtuvo un recién nacido vivo, de 1175 gramos, Capurro de 31 semanas, Apgar 8-9, 37 cm, sangrado en la cirugía de 500 mL. Enseguida se ingresó a la unidad de cuidados intensivos obstétricos, con ventilación mecánica asistida y vasopresores. Se extubó y retiraron los vasopresores una hora posterior al evento obstétrico, sin complicaciones.

En el puerperio inmediato sobrevino un choque hipovolémico hemorrágico, por hipotonía uterina transitoria, con sangrado transvaginal de 950 mL, con cuantificación total de 1650 mL (500 mL durante la cesárea más 950 mL en el puerperio). Para cohibir la hemorragia obstétrica se indicó tratamiento farmacológico escalonado, reposición de la volemia con solución coloide y hemoderivados, con posterior remisión del choque hipovolémico.

La paciente permaneció tres días en la unidad de cuidados intensivos y dos días más en estancia hospitalaria. Posteriormente fue dada de alta de la unidad médica, sin complicaciones, con referencia a un hospital de tercer nivel, de manera externa, para la corrección quirúrgica del padecimiento cardiaco de base.

DISCUSIÓN

La trasposición de las grandes arterias corregida congénitamente es una afección poco frecuente.7,8 Se caracteriza por una discordancia ventrículo arterial y aurículo ventricular con situs auricular solitus en más del 95% de los casos e inversus, aproximadamente en un 5%.7,8 De tal manera, el retorno venoso sistémico drena al ventrículo izquierdo anatómico desde la aurícula derecha y es eyectado hacia el tronco de la arteria pulmonar que emerge de dicho ventrículo.7,8 La sangre oxigenada que retorna desde las venas pulmonares hacia la aurícula izquierda llega al ventrículo derecho anatómico, que la expulsa hacia la aorta y, de esta manera, se mantiene una circulación en serie que permite una adecuada hemodinamia.7,8 El problema radica en que más del 90% de los pacientes se acompañan de otras malformaciones cardiacas, como la comunicación interventricular que sobreviene en alrededor del 80%, la estenosis pulmonar en 50%, la regurgitación de la válvula aurículo-ventricular sistémica (válvula tricúspide) en 30% y, también, de posiciones cardiacas anormales: dextrocardia, situs inversus y mesocardia; donde solo la primera se manifiesta en el 50% de los pacientes.9,10

La paciente del caso padecía otras malformaciones cardiacas: comunicación interauricular e interventricular, estenosis pulmonar con cierto grado de hipertension pulmonar lo que condicionó el agravamiento del cuadro clínico.8 Las pacientes con afecciones cardiacas de clase IV de la OMS tienen un riesgo extremadamente alto de mortalidad materna o morbilidad grave.8 La paciente del caso tenía esta clase funcional, en la que el embarazo está contraindicado, incluso se recomienda la esterilización quirúrgica.8 Las complicaciones maternas pueden repercutir, directamente, en el feto.8 La insuficiencia cardiaca y otras afecciones pueden afectar la perfusión placentaria, llevando a una mayor incidencia de restricción del crecimiento intrauterino y parto prematuro, ambas condiciones concurrieron en la paciente del caso; el peso del feto se encontraba por debajo de la curva de crecimiento detectada desde el segundo trimestre del embarazo.8

La vigilancia obstétrica debe llevarse a cabo en conjunto con los especialistas del servicio de perinatología, para excluir tempranamente el diagnóstico de cardiopatía congénita, evaluar el crecimiento fetal a las 28 y 32 semanas de gestacion, al igual que practicar el estudio Doppler de las arterias uterinas y la hemodinamia fetal para descartar restriccion de crecimiento, que es una de las principales complicaciones, seguida de aborto, prematurez relacionada con cianosis materna, anticoagulación y lesiones obstructivas.11,12,13

Las complicaciones obstétricas y el estado cardiovascular de la madre deben considerarse al decidir la vía de finalización del embarazo.14 Las pacientes con cardiopatías complejas, como la trasposición de grandes arterias o la insuficiencia cardíaca, pueden estar en riesgo de descompensación durante el trabajo de parto.14

En pacientes con complicaciones obstétricas o en situaciones donde la salud fetal está en riesgo, la cesárea es el procedimiento más segura.14 En la paciente del caso el estado fetal se vio afectado al realizar la prueba sin estrés, que no fue reactiva, con variabilidad cardiaca mínima.14 Por ello se decidió la interrupción del embarazo por vía abdominal, para disminuir la morbilidad y la mortalidad fetal.14 La fisiopatología del embarazo normal es compleja y diseñada para maximizar el bienestar de la madre y el feto.14 Sin embargo, en el caso de pacientes con cardiopatías congénitas, estas adaptaciones pueden ser insuficientes, lo que requiere un enfoque multidisciplinario para optimizar los desenlaces.14

CONCLUSIÓN

La atención de pacientes embarazas con una cardiopatía congénita requiere atención especializada y multidisciplinaria. La atención temprana con un enfoque proactivo es decisiva para optimizar los desenlaces maternofetales. La trasposición de las grandes arterias, corregida congénitamente, tiene consideraciones únicas durante el embarazo. Por ello es decisivo considerar los cambios fisiológicos que suceden durante el embarazo y, además, la existencia de malformaciones cardiacas con sus consecuentes cambios hemodinámicos adicionales que acompañan a esta malformación para poder tomar decisiones oportunas e intervenir en el momento adecuado para obtener los mejores resultados para la madre y su hijo. Es de suma importancia ofrecer asesoría previa a la concepción a estas pacientes, individualizando cada caso.

CONSIDERACIONES ÉTICAS

En la integración de este artículo no participaron ni se usaron datos de pacientes, por lo que no fue necesario obtener el consentimiento informado. De la misma manera, debido a que no existe intervención, maniobra o manejo de información, el estudio se considera de bajo riesgo y no requirió revisión o aprobación del comité de ética local. Aun así, cumple con la normativa vigente de investigación y la confidencialidad de los datos de identificación y personales, lo mismo que del anonimato de los participantes. El artículo no contiene información personal que permita la identificación de los participantes.

AGRADECIMIENTOS

Agradecimiento especial al Hospital general Agustín O’Horán y a la Facultad de Medicina de la Universidad Autónoma de Yucatán.

REFERENCIAS

  1. Regitz-Zagrosek V, Roos-Hesselink JW, Bauersachs J, et al. Guidelines for the management of cardiovascular disease during pregnancy. Eur Heart J 2018; 39 (34): 3165–3241. https://doi.org/10.1093/eurheartj/ehy340
  2. Kampman MA, Valente MA, van Melle JP, et al. Adaptación cardíaca durante el embarazo en mujeres con cardiopatía congénita y mujeres sanas. Corazón 2016; 102: 1302–1308. http://doi.org/10.1136/heartjnl-2015-308946
  3. Cornette J, Ruys TP, Rossi A, et al. Adaptación hemodinámica al embarazo en mujeres con cardiopatía estructural. Int J Cardiol 2013; 168: 825–831. https://doi.org/10.1016/j.ijcard.2012.10.005
  4. Pieper PG, Balci A, Aarnoudse JG, et al. Flujo sanguíneo uteroplacentario, función cardíaca y resultado del embarazo en mujeres con cardiopatía congénita. Circulación 2013; 128: 2478–2487. https://doi.org/10.1161/CIRCULATIONAHA.113.002810
  5. Van Hagen IM, Boersma E, Johnson MR, et al. Global cardiac risk assessment in the Registry of Pregnancy and Cardiac Disease: Results from a European Society of Cardiology registry. European Journal of Heart Failure 2016; 18 (5): 523–533. https://doi.org/10.1002/ejhf.501
  6. Siu SC, Sermer M, Colman JM, et al. Prospective multicenter study of pregnancy outcomes in women with heart disease. Circulation 2001; 104 (5): 515–521. DOI: 10.1161/hc3001.094264
  7. Stout KK, Daniels CJ, Aboulhosn JA, et al. 2018 AHA/ACC guideline for the management of adults with congenital heart disease. Circulation 2019; 139: e637-e697. https://doi.org/10.1161/CIR.0000000000000602
  8. Kirk ES, et al. Long-term outcomes after arterial switch operation for transposition of the great arteries: A single-center experience. The Annals of Thoracic Surgery 2019; 107 (4): 1173-1179. https://doi.org/10.1016/j.jacc.2022.06.020
  9. Canobbio M, Morris C, Graham T, Landzberg M. Pregnancy outcomes after atrial repair for transposition of the great arteries. Am J Cardiol 2006; 98 (5): 668-672. DOI: https://doi.org/10.1016/j.amjcard.2006.03.050
  10. Cohen MS, Mertens MM. Echocardiographic assessment of transposition of the great arteries and congenitally corrected transposition of the great arteries. Endocrinology 2019. https://doi.org/10.1530/ERP-19-0047
  11. Ouyang DW, Khairy P, Fernandes SM, et al. Obstetric outcomes in pregnant women with congenital heart disease. Int J Cardiol 2010; 144 (2): 195-199. doi: https://doi.org/10.1016/j.ijcard.2009.04.006
  12. González Maqueda I, Armada Romero E, Díaz Recasens J, et al. Guías de la práctica clínica de la Sociedad Española de Cardiología de la gestante con cardiopatía. Rev Esp Cardiol 2000; 53 (11): 1474-1495.
  13. Bacha EA, Firstenberg MS. Management of congenitally corrected transposition of the great arteries. J Thorac Cardiovasc Surg 2017; 153 (5): 1026-1035. https://doi.org/10.1161/CIRCINTERVENTIONS.120.010154
  14. Coursen J, Simpson CE, Mukherjee M, Vaught AJ, Kutty S, Al-Talib TK, Wood MJ, Scott NS, Mathai SC, Sharma G. Pregnancy Considerations in the Multidisciplinary Care of Patients with Pulmonary Arterial Hypertension. J Cardiovasc Dev Dis 2022; 9 (8): 260. Doi: 10.3390/jcdd9080260
Enviar un comentario

Te puede interesar