Información exclusiva para profesionales de la salud
← Volver al número Ver PDF

Trombosis de la vena ovárica derecha con trombo flotante en la vena cava inferior en el puerperio

Right ovarian vein thrombosis with floating thrombus in the inferior vena cava during the postpartum period.



RESUMEN

Antecedentes: La trombosis de la vena ovárica es una complicación rara del puerperio, con una incidencia estimada del 0.05% al 0.18% en parto vaginal y 2% en cesárea. Se manifiesta generalmente en los primeros 10 días posparto. Los síntomas incluyen fiebre persistente, dolor en el cuadrante inferior derecho y, en algunos casos, una masa anexial palpable. Su diagnóstico es desafiante debido a la similitud con otras afecciones comunes. En este trabajo buscamos aumentar la conciencia respecto de esta alteración, con protocolos para mejorar su identificación y tratamiento tempranos, y reducir la morbilidad y mortalidad asociada.

Caso clínico: Paciente femenina de 35 años, con antecedente de tres embarazos: dos partos y un aborto, en el transcurso del segundo día de puerperio; quien acudió a consulta médica por fiebre no cuantificada, dolor abdominal difuso en el hipogastrio principalmente en la fosa iliaca derecha que se irradia a la región inguinal, escalofríos, diaforesis y sangrado transvaginal moderado. En el estudio de imagen se encontró un trombo flotante en la vena cava inferior. Se inició tratamiento con heparina de bajo peso molecular (HBPM) y se envió a un hospital de a tercer nivel.

Conclusión: La trombosis de la vena ovárica es una rara complicación del puerperio con síntomas poco específicos que dificulta su diagnóstico. Los factores de riesgo incluyen embarazo, puerperio, anticonceptivos hormonales y trastornos de coagulación. El diagnóstico depende de la sospecha clínica y se apoya en pruebas de imagen, el enfoque terapéutico incluye anticoagulantes y antibióticos; en situaciones más complejas se requiere intervención quirúrgica.

Palabras clave: Trombosis de la vena ovárica, trombosis de la vena cava inferior, complicaciones en el puerperio

ABSTRACT

Background: Ovarian vein thrombosis is a rare complication of the puerperium, with an estimated incidence of 0.05% to 0.18% in vaginal delivery and 2% in cesarean section. This condition usually manifests in the first 10 days postpartum. Symptoms include persistent fever, right lower quadrant pain and, in some cases, a palpable adnexal mass. Its diagnosis is challenging due to the similarity in symptoms to other common conditions. In this work we seek to increase awareness of this pathology in order to improve its early identification and adequate management, thus reducing the associated morbidity and mortality.

Clinical case: The patient is a 35-year-old female, Gesta 3 Births 2 Abortion 1, in the second day of puerperium; she presents with unquantified fever, diffuse abdominal pain in the hypogastrium mainly in the right iliac fossa that radiates to the inguinal region, chills, diaphoresis and moderate transvaginal bleeding. Imaging revealed a floating thrombus in the inferior vena cava. Treatment with low molecular weight heparin (LMWH) was started and she was referred to the third level.

Conclusion: Ovarian vein thrombosis is a rare complication of the puerperium with non-specific symptoms that make it difficult to diagnose. Risk factors include pregnancy, puerperium, hormonal contraceptives and coagulation disorders. Diagnosis depends on clinical suspicion and is supported by imaging tests; the therapeutic approach involves anticoagulants and antibiotics; in more complex situations surgical intervention is necessary.

Keywords: Ovarian vein thrombosis;, Inferior vena cava thrombosis, puerperal complications


ANTECEDENTES

La trombosis de la vena ovárica es una complicación poco frecuente y grave que puede producirse en el puerperio, luego de una cirugía pélvica o, bien, relacionada con otros padecimientos. Es potencialmente mortal y se manifiesta en mujeres con incremento en los factores de coagulación. Debido a que sus complicaciones pueden ser motivo de muerte, es importante conocer su diagnóstico para que el tratamiento pueda ser oportuno.1 En las pacientes embarazadas, la incidencia de tromboembolismo venoso se incrementa de 4 a 50 veces. En los países industrializados es una causa importante de mortalidad y morbilidad, estimada en alrededor del 9.3% de las muertes maternas, esto a pesar de que la epidemiología de la trombosis de la vena ovárica es aún incierta, estimada en aproximadamente 0.05 al 0.18% de los partos y en el 2% de los nacimientos por cesárea.2,3,4

La trombosis de la vena ovárica afecta, sobre todo, a la porción derecha en 70 a 80% de los casos.5 Se manifiesta, generalmente, durante los primeros 10 días del puerperio, con un pico de incidencia en el segundo a sexto día.3 Los síntomas comunes incluyen: fiebre persistente, sin respuesta al tratamiento con antibiótico (80%) y dolor en el cuadrante inferior derecho, a menudo acompañado de náusea, vómito, malestar general e íleo. En la exploración física puede encontrarse una masa anexial derecha descrita como una “cuerda”; sin embargo, esto solo sucede en menos de la mitad de los casos.6

Un estudio retrospectivo reveló que el dolor abdominal fue el síntoma más común (83.3%), seguido de fiebre (33.3%), sensibilidad abdominal (33.3%) y vómito (16.7%).7 Los factores asociados incluyen: posparto (61.1%), tumoraciones (11.1%), poslaparotomía (5.6%) e idiopático (5.6%). En algunas pacientes se inicia en coincidencia con hipertensión arterial (38.9%) y diabetes mellitus (22.2%). Otros factores de riesgo abarcan: embarazo, puerperio, anticoncepción con estrógenos, cirugías previas, infecciones, traumatismos y trombofilias.7,8

El diagnóstico de la trombosis de la vena ovárica, a menudo, es desafiante porque puede confundirse con afecciones más comunes, como la endometritis, pielonefritis, torsión ovárica, absceso anexial, sepsis o apendicitis. Esta complicación es más común en mujeres jóvenes, con un aumento en la incidencia en el grupo de 40 a 60 años.9

El tratamiento actual de la trombosis de la vena ovárica se centra en la anticoagulación, recomendada principalmente para casos sintomáticos, con una duración típica de tres meses. Los antibióticos se indican como coadyuvantes, cuando se sospecha una infección. Las intervenciones quirúrgicas: ligadura de la vena ovárica o la histerectomía se reservan para casos en los que la anticoagulación y los antibióticos no son efectivos, o en situaciones complejas donde existe un riesgo significativo de complicaciones: extensión del trombo a la vena cava inferior, embolia pulmonar, sepsis grave o absceso ovárico. En pacientes asintomáticas, el tratamiento con anticoagulantes puede no ser necesario, salvo que exista evidencia de extensión del trombo o embolia pulmonar. La resonancia magnética es la técnica de imagen de elección por su alta sensibilidad y especificidad, aunque la tomografía computada y la ultrasonografía con Doppler también son útiles en la práctica clínica. El tratamiento debe ser individualizado, considerando la manifestación clínica y los factores de riesgo de cada paciente.10,11

CASO CLÍNICO

Paciente de 35 años, con antecedente de dos partos y un aborto, en curso de las primeras 48 horas de puerperio de parto en una unidad de segundo nivel de atención. Durante su hospitaliación destacó el diagnóstico de hipertensión gestacional, el índice de masa corporal de 28.8 y el rechazo a la colocación o uso de algún método anticonceptivo. Posterior a su alta hospitaria acudió a Urgencias debido a fiebre no cuantificada, dolor abdominal difuso, de predominio en fosa iliaca derecha, escalofríos, diaforesis y sangrado transvaginal moderado.

Ante el cuadro clínico, se indicó un ultrasonido abdominal para descartar afecciones de diagnóstico diferencial, como la apendicitis, sin encontrar evidencia de ésta. Los análisis de laboratorio reportaron: hiperbilirrubinemia a expensas de bilirrubina indirecta (BT 3.1 mg/dL, BI 2.5 mg dL), sin datos de hemolisis asociados y un aumento en los reactantes de fase aguda, como la PCR (26 mg/dL) y μL leucocitosis de 18.3 y neutrófilos de 85%. Por lo tanto, se solicitó un ultrasonido de hígado y vías biliares que reportó la existencia de un trombo flotante en la vena cava inferior. Figura 1

<strong>Figura 1</strong>
Figura 1

Con el diagnóstico establecido se optó por iniciar el tratamiento con heparina de bajo peso molecular a dosis terapéutica. En la valoración posterior, por parte del cirujano vascular, se decidió su envío a tercer nivel de atención.

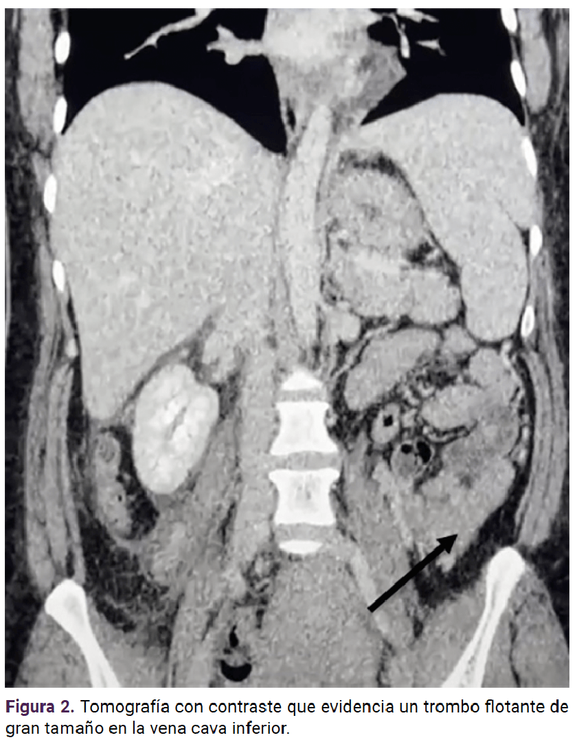
En la fase venosa de la tomografía contrastada se identificó una imagen hipodensa sugerente de trombo de la vena cava inferior, dependiente de la íntima vascular que obstruía el 11% de la vena cava inferior y el 100% de la vena ovárica derecha, así como el reconocimiento del ovario derecho con aumento de tamaño y de la densidad en la masa periovárica; además de borramiento de la grasa adyacente con un paso hipocaptante al medio de contraste; con ello se integró el diagnóstico de trombosis de la vena ovárica.

El cirujano vascular indicó tratamiento con heparina no fraccionada durante los primeros dos días y, posteriormente, heparina de bajo peso molecular. Ante la buena evolución se otorgó el alta hospitalaria, con seguimiento en la consulta externa y prescripción de 1 mg/kg cada 12 h de heparina de bajo peso molecular durante los siguientes 3 meses. A lo largo de ese tiempo se advirtió una evolución satisfactoria, sin reporte de complicaciones.

DISCUSIÓN

Durante el embarazo y puerperio hay predisposición a la trombosis de la vena ovárica. La tríada de Virchow, acompañada de los factores de riesgo descritos, incrementa la probabilidad de trombosis. La hipercoagulabilidad en el embarazo se debe a un desequilibrio entre los factores procoagulantes y anticoagulantes. El aumento de la concentración de estrógeno, característico del embarazo, estimula la cascada de coagulación y eleva las concentraciones de los factores II, VII, VIII, X y de fibrinógeno y disminuye las del factor V. La resistencia a la proteína C activada disminuye gradualmente hasta crear un estado procoagulante. Las enfermedades hipercoagulantes, como el síndrome de anticuerpos antifosfolipídicos, el lupus eritematoso sistémico, la hemoglobinuria paroxística nocturna, el factor V de Leiden, hiperhomocisteinemia, deficiencia de proteína C y S deberían descartarse porque existe evidencia de un porcentaje alto de positividad en las pruebas de trombofilia en estas pacientes.3,12,13 La paciente del caso carecía de esos factores y de antecedentes clínicos relevantes, como enfermedades reumáticas o hematológicas.

La estasis venosa se ve afectada por el aumento del volumen sanguíneo y la progesterona, que actúa como vasodilatador. Además, la anatomía venosa con menos válvulas incrementa el riesgo de insuficiencia valvular y flujo anterógrado. La posición del útero grávido puede comprimir la vena ovárica derecha y aumentar la incidencia de trombosis venosa profunda de ese vaso. La longitud y estructura de la vena ovárica derecha contribuyen al mayor riesgo de trombosis,6,8 como se observó en la paciente del caso.

Si bien aún no puede determinarse fácilmente la lesión endotelial, al parecer el parto puede causar una lesión en los vasos sanguíneos y provocar cambios en la superficie uteroplacentaria, ello aumenta el riesgo de un trastorno tromboembólico venoso. Además, la cesárea puede agravar las lesiones en la capa íntima de los vasos sanguíneos e incrementar aún más este fenómeno.2

La detección de trombosis de la vena ovárica puede efectuarse mediante diferentes técnicas: ultrasonido, tomografía computada o resonancia magnética. No obstante, la sensibilidad de cada método varía de manera muy considerable: va del 52, 92 hasta el 100%, respectivamente.8,14

El ultrasonido es la primera opción para diagnosticar la trombosis venosa. Aunque es económica y ampliamente disponible, su indicación puede verse afectada por la obesidad y otros factores. En la ecografía, la vena trombosada suele apreciarse engrosada, con una masa ecogénica en su interior que en el Doppler color se aprecia como si fuese una reducción o una ausencia de flujo. También podría visualizarse un aumento de flujo periférico debido a la reacción inflamatoria. El ultrasonido tiene una sensibilidad que varía del 50 al 100% y una especificidad del 41 al 99%. En la paciente del caso el ultrasonido fue el estudio que permitió establecer el diagnóstico, posteriormente confirmado con la tomografía contrastada.8,14

<strong>Figura 2</strong>
Figura 2

Hoy día, la tomografía computada con contraste (venografía) es el estudio de elección por excelencia. Este método de imagen también permite observar la extensión total del trombo y la vena renal, aunque en algunas circunstancias puede ser difícil de visualizar, debido a la mezcla de sangre con contraste y la no contrastada en las venas renales. La típica imagen diagnóstica en la tomografía contrastada consiste en un defecto de llenado, aumento de tamaño del vaso y reforzamiento de la pared, conocidos como los criterios de Zerhouni. La sensibilidad de la tomografía contrastada es del 77 al 100% y la especificidad del 62 al 99%.8,14

La resonancia magnética es la herramienta diagnóstica de excelencia cuando es necesario determinar la extensión del coágulo. Una de sus ventajas es que las pacientes, diagnosticadas por este medio, no se exponen a radiación ionizante. Entre sus desventajas están: el costo elevado y que no en todos los hospitales está disponible. Su sensibilidad se ubica entre 92 y 100% y la especificidad sí es del 100%.8,14

El tratamiento inicial de esta complicación es la heparina y los antibióticos de amplio espectro y, ante la persistencia de síntomas u otras complicaciones la laparotomía.15 De acuerdo con la Society Obstetric and Gynecology of Canada se recomienda el inicio de tratamiento con antibióticos parenterales de amplio espectro, en pauta de al menos 48 horas posteriores a la mejora clínica e iniciar con anticoagulación, de preferencia con heparina de bajo peso molecular por un lapso de 1 a 3 meses, en dosis terapéuticas.16

El tratamiento quirúrgico es motivo de discusión y solo es preferible en ciertos casos, como la recurrencia de embolia pulmonar a pesar del tratamiento, trombosis flotante y cualquier contraindicación inherente a la paciente relacionada con la anticoagulación. La paciente del caso tenía un trombo flotante, dependiente de la íntima hacia la vena cava inferior; por eso se consideró idónea para el tratamiento quirúrgico.7

Para pacientes asintomáticas aún no existe un tamizaje diagnóstico. Actualmente están en investigación la utilidad del dímero D, los estudios de imagen como diagnóstico y en caso de encontrarse se sugiere el tratamiento previamente establecido.17

En cuanto a las complicaciones asociadas, la mayoría de los artículos revisados concuerdan que pueden ser mortales, las principales serían tromboflebitis séptica, la extensión del trombo a la vena cava y la pulmonar, así como el embolismo. La incidencia de embolismo pulmonar varía del 0.15 al 0.33 % con una mortalidad del 4%.4,3

CONCLUSIONES

La trombosis de la vena ovárica es una complicación poco común del puerperio que requiere una alta sospecha clínica. Los síntomas característicos son: fiebre, dolor abdominal y una tumoración palpable, lo que dificulta su diagnóstico porque los hay diferenciales de mayor prevalencia. Este padecimiento suele manifestarse en los primeros días posteriores al parto y puede tener complicaciones graves: sepsis o tromboembolia pulmonar. El embarazo, el puerperio, la anticoncepción hormonal y los trastornos de la coagulación son factores que incrementan las probabilidades de padecerla. Para el diagnóstico se recurre al ultrasonido, tomografía computada o resonancia magnética. El tratamiento consiste en anticoagulantes y antibióticos y, en algunos casos, es quirúrgico.

Referencias

  1. Ahmed M, Mendha T, Do V, Carlan S, et al. Ovarian vein thrombosis: an unusual cause of abdominal pain in breast cancer. Cureus 2023; 15 (4): e37363. https://doi.org/10.7759/cureus.37363
  2. Ferrer MF, Oyarzún EE. Trombosis venosa en el embarazo. Rev médica Clín Las Condes 2014; 25 (6): 1004-18. https://doi.org/10.1016/S0716-8640(14)70650-9
  3. Dunphy L, Tang AW. Ovarian vein thrombosis in the postnatal period. BMJ Case Rep 2021; 14 (6): 1-4. http://dx.doi.org/10.1136/bcr-2021-243872
  4. Creanga AA, Syverson C, Seed K, Callaghan WM. Pregnancy-related mortality in the United States, 2011-2013. Obstet Gynecol 2017; 130 (2): 366-73. http://dx.doi.org/10.1097/aog.0000000000002114
  5. Setia A, Adili F, Ludwig K, Herold J. acute abdominal pain as a result of an isolated left ovarian vein thrombosis. Case Rep Med 2023; 2023. https://doi.org/10.1155/2023/9528088
  6. Ben Oun M, Skraková M, Paulovičová M, Adamec A, et al. Postpartum ovarian vein thrombosis: Case report and review of literature. Ceska Gynekol 2020; 85 (4): 254-58.
  7. Alsheef M, Abuzied Y, Alosaimi M, Altamimi A, et al. Clinical characteristics and management of ovarian vein thrombosis: a case series. Front Cardiovasc Med 2022; 9. https://doi.org/10.3389/fcvm.2022.916920
  8. Riva N, Calleja-Agius J. Ovarian vein thrombosis: a narrative review. Hamostaseologie 2021; 41 (4): 257-66. http://dx.doi.org/10.1055/a-1306-4327
  9. Klima DA, Snyder TE. Postpartum ovarian vein thrombosis. Obstet Gynecol 2008; 111 (2): 431-35. http://dx.doi.org/10.1097/AOG.0b013e318162f6c0
  10. Plastini T, Henry D, Dunleavy K. Ovarian vein thrombus: to treat or not to treat? Blood Adv 2017; 1 (15): 1120-3. http://dx.doi.org/10.1182/bloodadvances.2017006577
  11. Bannow BTS, Skeith L. Diagnosis and management of postpartum ovarian vein thrombosis. Hematology Am Soc Hematol Educ Program 2017; 2017 (1): 168-71. http://dx.doi.org/10.1182/asheducation-2017.1.168
  12. Abou-Ismail MY, Citla Sridhar D, Nayak L. Estrogen and thrombosis: A bench to bedside review. Thromb Res 2020; 192: 40-51. http://dx.doi.org/10.1016/j.thromres.2020.05.008
  13. 13. Salomon O, Apter S, Shaham D, Hiller N, et al. Risk factors associated with postpartum ovarian vein thrombosis. Thromb Haemost 1999; 82 (3): 1015-19.
  14. Sharma P, Abdi S. Ovarian vein thrombosis. Clin Radiol 2012; 67 (9): 893-98. http://dx.doi.org/10.1016/j.crad.2012.01.013
  15. Hassen-Khodja R, Gillet JY, Batt M, Bongain A, et al. Thrombophlebitis of the ovarian vein with free-floating thrombus in the inferior vena cava. Ann Vasc Surg 1993; 7 (6): 582-86. http://dx.doi.org/10.1007/BF02000155
  16. Chan W-S, Rey E, Kent NE, VTE in Pregnancy Guideline Working Group, et al. Venous thromboembolism and antithrombotic therapy in pregnancy. J Obstet Gynaecol Can 2014; 36 (6): 527-53. http://dx.doi.org/10.1016/s1701-2163(15)30569-7
  17. Murata T, Yoshimoto Y, Shibano Y, Owada K, et al. Potential critical risks of pulmonary thromboembolism from an asymptomatic postpartum ovarian vein thrombosis: a case report. BMC Pregnancy Childbirth 2022; 22 (1): 323. http://dx.doi.org/10.1186/s12884-022-04627-w
Enviar un comentario

Te puede interesar